専門の歯科医師による
質の高い治療と
大学病院レベルの設備
丁寧な説明と患者様のご希望に沿った治療計画で
三重県津市の歯医者·歯科として土台からしっかり治療します。
精密マイクロスコープ治療
早い・痛みが少ない
ヨーロッパ基準の
安心・安全な衛生環境
歯周病・インプラント専門外来
難症例可
精密マイクロスコープ治療
早い・痛みが少ない
ヨーロッパ基準の
安心・安全な衛生環境
歯周病・インプラント専門外来
難症例可
-
01
精密マイクロスコープ治療
早い・痛みが少ない歯科用マイクロスコープ(顕微鏡)を使用し、肉眼では確認しづらい部分まで拡大して見ながら処置を行います。細部を見極めやすくなることで、必要な範囲を判断し、丁寧な治療につなげることができます。結果として、治療の精度向上や再治療リスクの低減に配慮した診療が可能になります。三重県津市で「できるだけ精密に診てもらいたい」「納得して治療を進めたい」という方は、一度ご相談ください。
-
02
ヨーロッパ基準の
安心・安全な衛生環境歯科医院に通ううえで「衛生面が気になる」という声は少なくありません。三重県津市の歯医者・歯科 医療法人大杉歯科医院では、治療器具の洗浄・消毒・滅菌の工程を徹底し、可能な範囲でディスポーザブル(使い捨て)製品も取り入れています。診療チェア周辺を含めた院内の清潔管理にも力を入れ、患者様が不安なく治療を受けられる環境づくりを大切にしています。三重県津市で安心して通える歯科医院を目指し、治療技術だけでなく「見えにくい部分」こそ丁寧に整えています。
-
03
歯周病・インプラント
専門外来/難症例可三重県津市で歯周病治療やインプラントをご検討中の方へ。歯ぐきの腫れ・出血、口臭、歯のグラつき、入れ歯の違和感などは、歯周病の進行や噛み合わせの乱れが関係している場合があります。当院では、お口の状態を丁寧に確認し、検査結果をもとに原因を整理したうえで治療方針をご案内します。骨の量や質、既往歴など条件が重なるケースでも、適応を慎重に判断しながら、無理のない治療計画をご提案します。
コンセプト
患者様の『変わりたい』想いに寄り添い、
最善の治療で信頼される
三重県津市の総合歯科医院
医療法人大杉歯科医院では、三重県津市の歯医者·歯科として
患者様一人ひとりが持つ『変わりたい』という想いをしっかりと受け止め、
それに応えるための最善の治療を提供します。
そして、その結果、患者様に信頼される歯科医院であることを目指しています。
お知らせ
- お知らせ
- 公式ブログ
- 症例
- 全て
津市の皆さまとともに、
信頼できる歯科医院を目指して
当院は三重県津市に根ざし、安心して通える歯科医院であり続けることを大切にしています。 その取り組みの一環として、第三者機関であるNPO法人日本歯科医療評価機構による患者様満足度アンケートを実施しています。調査は匿名で行われ、患者様の個人情報が当院に伝わることはありませんので、安心してご協力いただけます。いただいたご意見は真摯に受け止め、日々の診療や医院運営の改善に活かしています。アンケート結果は当院ホームページ内の「第三者機関による患者様アンケート結果」バナーからご覧いただけます。
日本歯科医療評価機構とは
NPO法人「日本歯科医療評価機構」は、患者様が安心して通える歯科医院を選べるようにするために設立された非営利組織です。「津市でどの歯医者を選べばよいのかわからない」「信頼できる歯医者に通いたい」といった患者様の声に応えるべく、厳しい基準に基づいた客観的な評価を行い、信頼性の高い歯科医院を認定しています。この第三者機関による取り組みは、患者様がより安心して質の高い歯科医療を受けられる環境づくりに大きく貢献しています。当院は三重県津市の歯医者・歯科として、患者様一人ひとりが長く安心して通院できる歯科医院であり続けることを使命としています。
評価機構の仕組みを活用しながら、「口コミで評判の良い歯医者でありたい」「家族や友人にもおすすめしたいと思っていただける歯医者でありたい」という想いのもと、これからもサービス品質の向上に努めてまいります。
三重県津市で選ばれる
6つの理由
精密診療+長期維持
にこだわる
6つの理由
三重県津市の医療法人大杉歯科医院では、「精密な治療」と「治療後の長期維持」を大切にしています。診療の特徴をわかりやすく示すことは、患者さんが自分の悩みや目的に合った治療を選び、納得して通院するために欠かせません。特徴が明確であれば、治療の考え方や進め方が伝わりやすく、不安や疑問も整理しやすくなります。また、医院としても一つひとつの治療の精度を高め、再発を防ぐための管理まで含めた診療体制を整えやすくなります。治療内容や方針を丁寧に共有しながら進めることで、患者さんとのコミュニケーションがスムーズになり、長く安心して通える環境につながります。
- Reasons01
患者様に
合わせた
治療計画 - Reasons02
土台から
整える治療 - Reasons03
可能な限り
歯を残す
精密治療 - Reasons04
長期維持を
支える
メインテナンス - Reasosn05
全身状態まで
踏まえた
治療判断 - Reasosn06
不安を残さない
丁寧な説明と
同意
-
Reason01
患者様に合わせた治療計画
津市で歯医者をお探しの方へ。医療法人大杉歯科医院では、むし歯の有無だけで判断するのではなく、噛み合わせ、歯ぐきや顎の骨の状態、見た目とのバランスまで含めて総合的に診査します。現状を丁寧に整理し、目指したいゴールを共有したうえで、治療の優先順位や進め方、通院の目安まで見通せる形で計画をご提案。
今の症状の改善だけでなく、将来も安定して噛める状態を見据えた”全体設計”を大切にしています。 -
Reason02
土台から整える治療
治療の結果を長く保つには、歯そのもの以上に「支える土台」の安定が重要です。歯周病で弱った歯ぐきや骨、歯の根の状態を検査結果から評価し、必要に応じて再生療法なども含めて選択肢を検討します。
目に見える部分だけを整えるのではなく、再発やぐらつきの原因となる要素に向き合い、支える組織まで丁寧に整える診療を心がけています。 -
Reason03
可能な限り歯を残す精密治療
できるだけ歯を守るために、削る量を抑え、神経を残せる可能性も視野に入れながら治療方針を検討します。
歯科用CTで状態を立体的に把握し、必要に応じてマイクロスコープを用いて細部まで確認しながら処置を実施。見えにくい部分ほど丁寧に対応することで、治療精度を高め、再治療のリスクをできる限り減らすことにもつなげます。 -
Reason04
長期維持を支えるメインテナンス
歯科治療は、治した後の管理まで含めてはじめて価値が生まれます。生活習慣や年齢、ライフステージに合わせたセルフケアのポイントをご提案し、できるだけ歯を残せるよう継続的にサポートします。
担当衛生士によるメインテナンス体制を整え、わずかな変化の段階で気づけるようにすることで、悪化や再治療を防ぐ予防管理に力を入れています。 -
Reason05
全身状態まで踏まえた治療判断
お口の症状が同じでも、持病や服用中のお薬、喫煙習慣などによって、治療の安全性や適切な進め方は変わります。医療法人大杉歯科医院では、検査で得られた情報に加えて全身状態も確認し、治療のメリットとリスクを整理したうえで「今この治療を進めるべきか」「先に整えるべき条件はないか」を慎重に判断します。
無理をせず、安心して治療を受けていただける進め方を大切にしています。 -
Reason06
不安を残さない丁寧な説明と同意
歯科治療への不安は、「何をされるのか分からない」ことから強くなるケースが少なくありません。当院では、治療の選択肢や流れ、期間の目安、注意点をできるだけ分かりやすく整理してお伝えし、疑問点を解消してから治療を進めます。
納得して通院いただけるよう、患者様との対話を重視し、安心感のある診療を心がけています。
-
01精密根管治療
「抜くしかない」と言われた歯でも、根の中の感染を適切に抑えられる治療技術があれば、歯を残せる可能性があります。根管は非常に細く複雑で、わずかな取り残しが痛みや腫れの再発につながることもあるため、当院では必要に応じてCTやマイクロスコープを活用し、原因を見極めながら丁寧に処置を進めます。
医療法人大杉歯科医院が大切にしているのは、早く終える治療ではなく、歯を守る治療。津市で、できるだけ天然歯を残したい方の選択肢になれるよう取り組んでいます。症例1

- 治療名
- マイクロスコープとラバーダムを使用した精密根管治療
- 患者様
- 30代男性
- 執刀医
- Dr. 大杉
- 治療期間
- 3ヶ月
- 治療費
- 精密根管治療:130,000円(税込)
築造:40,000円(税込) - リスク
- 治療中〜治療後に痛みが出る場合あり
再感染・治癒不全の可能性
補綴後も定期管理が必要
症例2

- 治療名
- マイクロスコープとラバーダムを使用した精密根管治療
- 患者様
- 40代女性
- 執刀医
- Dr. 大杉
- 治療期間
- 3ヶ月
- 治療費
- 精密根管治療:130,000円(税込)
築造:40,000円(税込)
セラミック:130,000円(税込) - リスク
- 治療中〜治療後に痛みが出る場合あり
再感染・治癒不全の可能性
補綴後も定期管理が必要
-
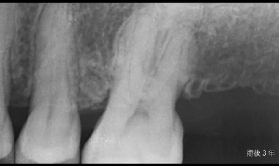
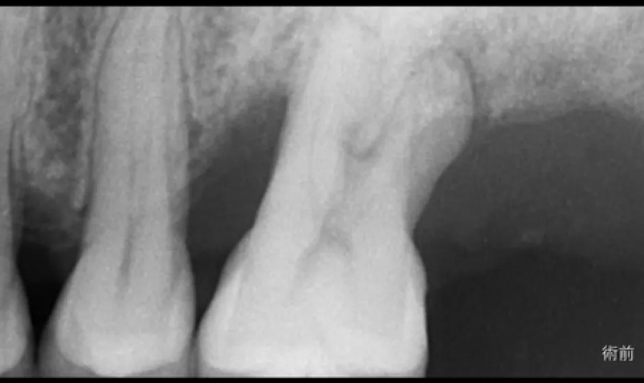
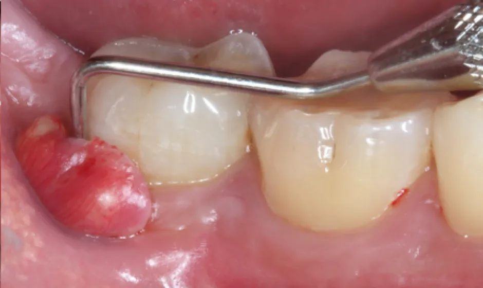
02歯周病・
重度歯周病治療歯周病は痛みが少ないまま進行し、気づいた時には歯がグラつく、膿が出る、噛みにくいといった状態になりやすい病気です。けれど、重度でも「もう無理」と決めつける前に、歯ぐき・骨・噛み合わせの状態を丁寧に評価し、今できることを一つずつ積み上げれば、守れる歯はあります。
当院では検査に基づき、基本治療から必要に応じた外科的治療や再生療法の検討まで、長期維持を見据えて段階的に進めます。津市で歯周病を本気で治したい方に、寄り添える歯科医院でありたいと考えています。症例1

- 治療名
- 【重度歯周病】歯周組織再生療法による機能回復
- 患者様
- 40代女性
- 執刀医
- Dr. 大杉
- 治療期間
- 約1年(初期治療・経過観察期間含む)
- 治療費
- 250,000円(税込)
- リスク
- 術後に一時的な腫れや痛みが生じることがあります(鎮痛剤等の処方で管理を行います)。
また、喫煙等の生活習慣によっては治癒不全のリスクが高まる場合があります。
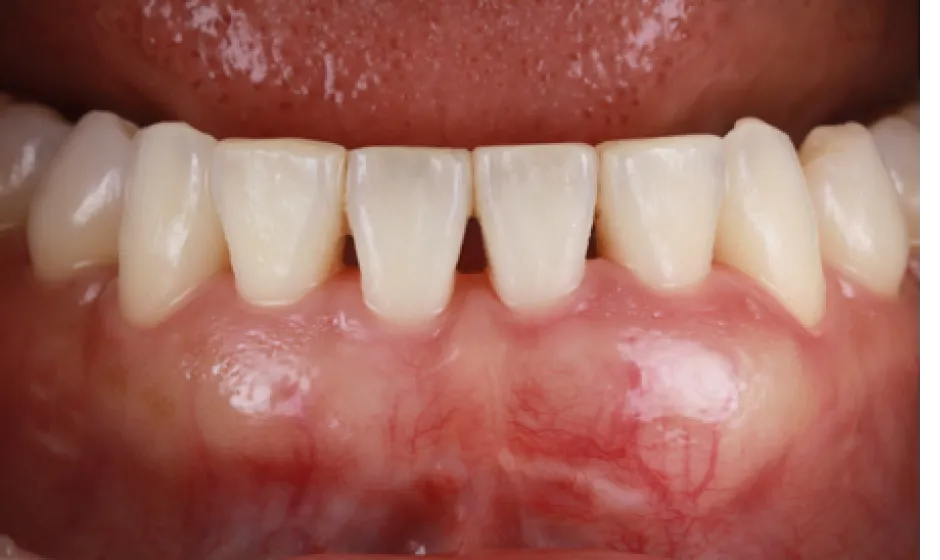
症例2

- 治療名
- 【高度審美形成】歯間乳頭再建術
- 患者様
- 40代女性
- 執刀医
- Dr. 大杉
- 治療期間
- 約1年
- 治療費
- 300,000円(税込)
- リスク
- 移植組織の定着後も、メンテナンスが予後を大きく左右します。
特に歯間ブラシの不適切な使用や過度なブラッシング圧は組織の退縮を招くため、術後は当院の指導に基づいた厳密なプラークコントロールが必要です。
-
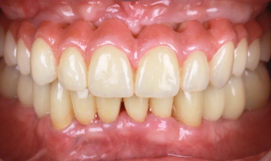
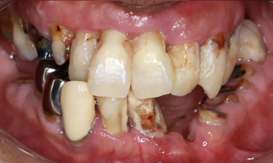
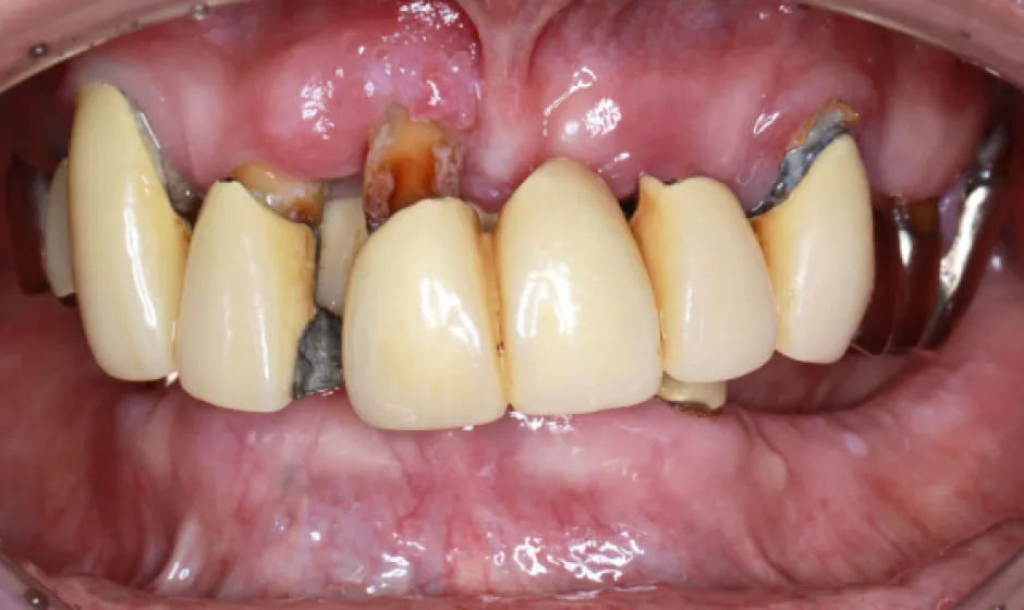
03歯がボロボロの方への
全顎治療むし歯や歯周病が広がり、「どこから治せばいいのか分からない」状態は、痛みだけでなく食事や会話、見た目のストレスにもつながります。医療法人大杉歯科医院では、まず精密に検査し、残せる歯・治療が必要な歯を見極めたうえで、治療の優先順位を整理します。仮歯で噛み合わせを整えながら、補綴やインプラントなどの選択肢を組み合わせ、機能と審美の両立を目指します。
いきなり理想を押しつけるのではなく、現実的に続けられる計画で、お口全体を立て直す治療をご提案します。症例1

- 治療名
- 重度虫歯からの全顎インプラント治療
- 患者様
- 70代男性
- 執刀医
- Dr. 大杉
- 治療期間
- 1年6ヶ月
- 治療費
- 上顎:4,620,000円(税込)
下顎:3,630,000円(税込) - リスク
- ラミックのすり減りを防ぐために、ナイトガードを作成しています。毎晩使用することで、セラミックを長持ちさせることができます。
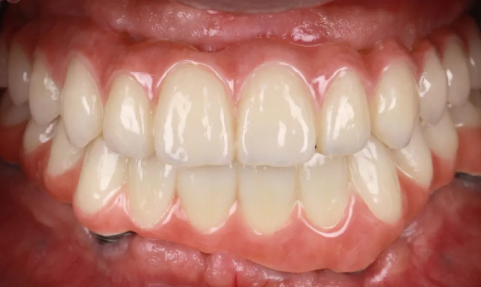
症例2

- 治療名
- 重度虫歯からの全顎インプラント治療
- 患者様
- 40代男性
- 執刀医
- Dr. 大杉
- 治療期間
- 1年
- 治療費
- 上顎:3,630,000円(税込)
下顎:3,630,000円(税込) - リスク
- 術後、硬い物を食べないでください。
インプラントが骨に結合するまで2ヶ月かかります。
この期間中に強い負荷をかけると、結合しないことがあります。
三重県津市の地域について
三重県津市は、県庁所在地として行政機関や商業施設が集まり、
暮らしやすさと利便性を兼ね備えた街です。近鉄津駅やJR津駅を中心に、百貨店や飲食店、医療機関などが立ち並び、日常生活に必要な施設が充実しています。
市内を通る国道23号線や伊勢街道沿いは交通アクセスが良く、
名古屋方面や伊勢志摩方面への移動も便利です。
また、津城跡やお城公園など歴史的文化財も多く、
地域に根ざした祭りや伝統文化が受け継がれている点も特徴です。
さらに、海や山に恵まれた自然環境も豊かで、伊勢湾岸の景観や安濃川沿いの穏やかな風景は、
市民の憩いの場となっています。
そんな三重県津市で患者様の健康に貢献できることを、大変嬉しく思います。
このページでは、津市の魅力と地域性について詳しくご紹介します。
よくある質問
ご来院後、まずはカウンセリングでお悩みやご希望をじっくりお伺いします。その上で、必要に応じてレントゲン撮影や歯周病検査などを行い、お口全体の状態を丁寧に診査・診断。患者様一人ひとりに合わせた治療計画を立て、ご納得いただいてから治療を進めてまいります。
お口の状態やご希望の治療内容によって通院回数は異なりますが、可能な限り患者様のライフスタイルに合わせて通院計画を立てています。お仕事や子育てでお忙しい方でも無理なく通っていただけるよう、治療スケジュールを柔軟にご提案していますのでご安心ください。
当院では、可能な限りご自身の歯を残す方針を大切にしています。他院で抜歯と診断されたケースでも、保存の可能性があれば精密に診査し、別の選択肢をご提案することもあります。一度診せていただければ、納得のいく説明とともに最適な判断をお伝えいたします。
治療にかかる費用は、保険診療・自由診療の別や使用する材料・治療方法によって変わります。初診時には想定される治療内容と費用の目安を丁寧にご説明し、ご納得いただいたうえで治療を進めます。分割払いや費用の相談にも対応していますので、お気軽にお申し出ください。
もちろん可能です。当院では、他院での診断や治療方針に不安や疑問を感じている方に対して、客観的な立場から診断・説明を行うセカンドオピニオンを受け付けています。押しつけではなく、患者様の意思を尊重しながら選択肢をご提示いたします。
はい、見た目のお悩みや「白くしたい」「目立たなくしたい」といったご相談も承っています。無理に治療をすすめることはありませんので、まずはお気軽にカウンセリングでお話をお聞かせください。口元の印象を変える選択肢について、分かりやすくご案内いたします。
もちろんです。「放置してしまった…」と不安に思われる方こそ、ぜひ一度ご相談ください。当院ではどんな状態からでも、段階的に無理なく治療を進めていけるようサポートします。初めての方や歯科が苦手な方にも配慮しながら、丁寧に治療を行っています。
お子様の矯正治療は、成長を利用して効率的に進められるため、一般的には6歳前後からのご相談がおすすめです。まずは歯並びだけでなく、噛み合わせや顎の成長なども総合的にチェックし、必要に応じて適切な時期に治療をご提案します。
親知らずは状態によって抜いた方がよい場合と、抜かずに経過観察できる場合があります。当院ではレントゲンやCTを用いて位置や周囲の歯への影響を診断し、最適な判断を行います。無理に抜歯をすすめることはありませんので、まずは一度ご相談ください。
お時間の確保が可能であれば、患者様のご希望に応じて複数本の治療を同日に行うことも可能です。遠方からのご来院や通院回数を減らしたい方にも配慮した治療計画をご提案します。安全性を第一に考慮しながら、効率よく進められるよう配慮いたします。
医院紹介

- 住所
- 〒510-0303
三重県津市河芸町東千里175-2 - アクセス
- 近鉄名古屋線「千里駅」徒歩4分
- その他
- 駐車場16台完備
| 診療時間 | 月 | 火 | 水 | 木 | 金 | 土 | 日 | 祝 |
|---|---|---|---|---|---|---|---|---|
| 9:00 – 13:00 | ● | ● | ● | ● | ● | |||
| 14:00 – 18:00 | ● | |||||||
| 15:00 – 19:00 | ● | ● | ● | |||||
| 14:00 – 17:30 | ● |
※土曜日は17:30/水曜日は18:00まで
【休診】木・日・祝






