歯を失った方・歯がボロボロの方治療専門外来
噛む力と笑顔を取り戻しましょう。
10年保証
即日噛める
オールオンフォー 歯や骨がない方
などの
難症例に対応 国内外の学会で
研鑽を積んだドクター
が治療を担当
「もう、このままでいい」と
諦めていませんか?Concept
三重県津市の医療法人大杉歯科医院
─ 患者様への想い ─
「⾷事が思うように楽しめない」
「⼈前で⼝元を気にして、思いきり笑えない」
「これまで何度も⻭の治療を繰り返してきた」
「この先、⾃分の⻭はどうなってしまうのだろう…」
もし、あなたが⼼の底から「本気で変わりたい」と願うなら、
まずはその想いを、私たちに聴かせてください。
私たちのゴールは、治療の先にある「あなたの輝く未来」です。
私たちが⽬指すのは、単に悪い部分を治すことではありません。治療を通じて、⾃信に満ちた笑顔を取り戻し、何でも美味しく⾷べられる喜びを再発⾒し、⽣涯にわたって健康で豊かな⼈⽣を送ること。それこそが、私たちが共有したいと願うゴールです。
治療結果に責任を持つ証として、10 年の保証制度をご⽤意しています。
これは、私たちの技術に対する絶対的な⾃信と、
あなたの未来に⽣涯寄り添い続けるという覚悟の証です。
三重県津市の医療法人大杉歯科医院は、あなたの理想の未来を⼀緒に描き、その実現に向け
て最後まで伴⾛する「未来を創るパートナー」です。
「歯がボロボロ」「歯を失った」「噛めない」──その不安に応える治療
虫歯や歯周病の進行によって歯を失うと、食事のしづらさや会話への影響だけでなく、笑顔に自信を持てなくなることもあります。「思いきり笑えない」「入れ歯が合わず食事を楽しめない」「残っている歯が弱っていて心配」といった声は珍しくありません。こうした問題は生活の質を大きく下げ、心身の健康にも関わってきます。特に多数の歯を失ったり顎の骨が痩せてしまった方では、従来の入れ歯では満足できないケースも少なくありません。
三重県津市の歯を失った方・歯がボロボロの方の治療専門である医療法人大杉歯科医院では、そのようなお悩みに応えるため、歯を失った・歯がボロボロの患者様に寄り添った全顎インプラント治療(オールオンフォー)や、見た目にも配慮した骨造成治療を行っています。機能性と審美性の両立を目指し、患者様が再び自然に笑顔で日常を送れるようサポートします。
Comfortable life入れ歯に頼らず“固定式”で
快適な生活を
総入れ歯を使用されている方の中には、「しっかり噛めない」「外れるのが怖い」と不便を感じている方が多くいらっしゃいます。オールオンフォーは、片顎に4本前後のインプラントを埋め込み、その上に取り外し不要の固定式の人工歯を装着する治療法です。違和感を抑えつつ安定感のある噛み心地を得やすいのが特徴です。
さらに、従来はインプラント治療が難しいとされてきた骨量の少ないケースでも、サイナスリフトやソケットリフトといった骨造成を組み合わせることで、治療の可能性を広げられる場合があります。「もう入れ歯しかない」と言われた方でも、固定式の歯で新しい日常を取り戻せるチャンスがあります。
Solve your problems人前で笑えない・食事が
楽しめない悩みを解決へ
歯の欠損や見た目の不安は、笑顔や会話に大きな影響を与えます。「口を開けるのが恥ずかしい」「話すときに手で口元を隠してしまう」といったお悩みも少なくありません。全顎インプラント治療では、天然歯に近い色合いや形態の人工歯を用いることで、自然な口元を再現できます。見た目の改善はもちろん、食事の楽しさや会話のしやすさを取り戻すことにもつながります。
また、医療法人大杉歯科医院では治療前にCTや口腔内検査を用いた精密な診断を行い、骨や歯ぐきの状態を確認したうえで一人ひとりに合わせた治療計画を立てています。治療後も定期的なメンテナンスにより長期安定を目指し、安心して過ごしていただける体制を整えています。
症例Case
-
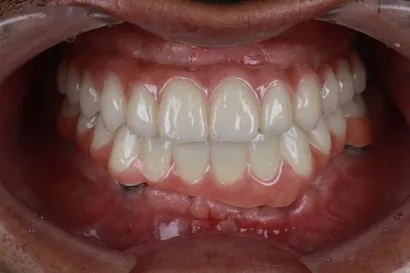
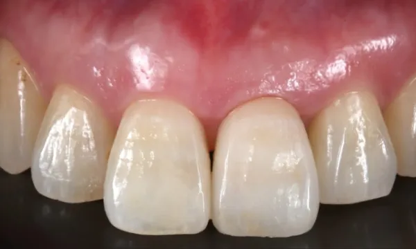
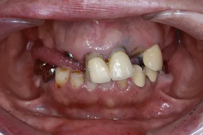
重度虫歯からの全顎インプラント治療
70代 男性

執刀医 Dr.大杉 治療内容 虫歯・歯周病が原因で噛み合わせが崩壊していたので、全顎的なインプラント治療を行い、口腔機能の回復を行いました。
上顎:ピンクポーセレンを用いたフルジルコニアインプラントブリッジ
下顎:奥歯=ジルコニアインプラントブリッジ、前歯=ジルコニアクラウン治療期間 1年6ヶ月 費用 上顎:420万 税抜
下顎:330万 税抜リスク セラミックのすり減りを防ぐために、ナイトガードを作成しています。毎晩使用することで、セラミックを長持ちさせることができます。 -
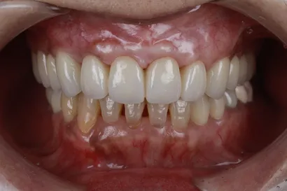
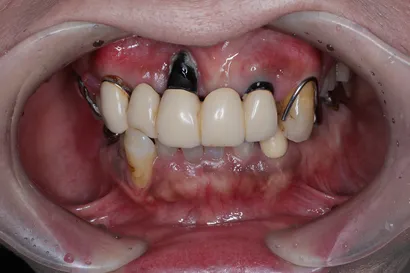
重度虫歯からの全顎インプラント治療
40代 男性

執刀医 Dr.大杉 治療内容 1回の手術でインプラントを埋め込み、即時の仮歯を装着して早期の機能回復を図りました。その後、噛み合わせを調整し、セラミックの製作を行いました。
上顎:ピンクポーセレンを用いたフルジルコニアインプラントブリッジ(All-on-4)
下顎:ピンクポーセレンを用いたフルジルコニアインプラントブリッジ(All-on-4)治療期間 1年 費用 上顎:330万 税抜
下顎:330万 税抜リスク 術後、硬い物を食べないでください。インプラントが骨に結合するまで2ヶ月かかります。この期間中に強い負荷をかけると、結合しないことがあります。 -
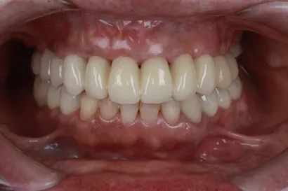
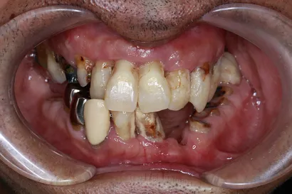
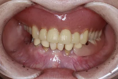
入れ歯からの全顎インプラント治療
50代 男性

執刀医 Dr.大杉 治療内容 重度の歯周病で、上下ともに顎の骨が大幅に痩せてしまった患者様です。総入れ歯も選択肢の一つでしたが、特に骨の吸収が激しい下顎では、安定せず「うまく噛めない・外れる」といった問題が予測されました。そのため下顎は、4本のインプラントで全ての歯を固定する「オールオン4」で、噛む機能を取り戻しました。
上顎:フルデンチャー(通常の粘膜を支えにした義歯)
下顎:ピンクポーセレンを用いたチタンフレーム入りのフルジルコニアインプラントブリッジ治療期間 1年3ヶ月 費用 上顎:75万 税抜
下顎:360万 税抜リスク 過去に歯周病と診断された方は、インプラントも歯周病(インプラント周囲炎)になるリスクが通常より高い傾向があります。そのため、治療後は特に注意が必要です。クリニックでの定期的なメンテナンスと、毎日の徹底したブラッシングを一緒に頑張り、インプラントを長持ちさせましょう。 -
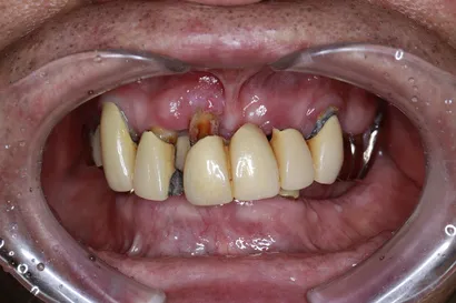
入れ歯からの全顎インプラント治療
60代 男性

執刀医 Dr.大杉 治療内容 他院で製作した入れ歯が「食べにくい・話しにくい・外れる」とお悩みで来院された患者様です。上顎は4本のインプラントで入れ歯を支える「オーバーデンチャー」としました。上あごを覆う部分をなくせるため、発音や食事がしやすくなります。下顎は「オールオン4」で歯をしっかり固定し、機能的に大変ご満足いただけました。
上顎:インプラントオーバーデンチャー(インプラントを支えにした義歯)
下顎:ピンクポーセレンを用いたチタンフレーム入りのフルジルコニアインプラントブリッジ治療期間 1年 費用 上顎:210万 税抜
下顎:330万 税抜リスク インプラントオーバーデンチャーを固定している連結部分の部品(ゴムなど)は、毎日のご使用で少しずつすり減る消耗品です。緩みの原因になるため、定期的なメンテナンスで状態をチェックし、必要に応じて交換していきましょう。 -
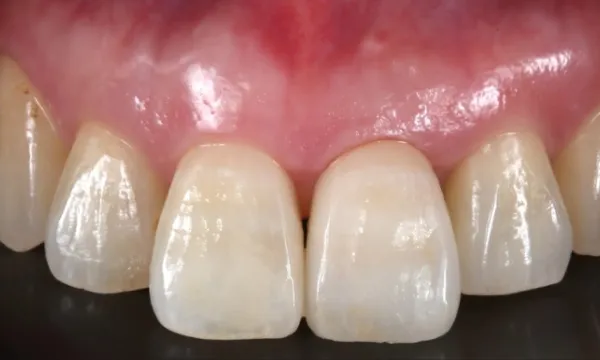
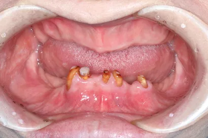
インプラントと矯正を併用した咬合再構成治療
60代 女性

執刀医 Dr.大杉 治療内容 崩壊した噛み合わせを立て直す「咬合再構成治療」の症例です。ご自身の歯をできる限り残すことを第一に考え、まず歯周病の治療で土台を整えました。その上で、矯正治療で歯を正しい位置に動かし、歯を失った部分にはインプラント治療で機能を回復させ、全体のバランスを再構築しました。 治療期間 2年6ヶ月 費用 550万 税抜 リスク 矯正治療後の歯は、元の位置に戻ろうとする「後戻り」が起きます。これを防ぐのが保定装置です。指示通り使用しないと再び歯並びが乱れてしまうため、必ず装着してください。 -
インプラントと矯正を使用した咬合再構成治療
60代 女性

執刀医 Dr.大杉 治療内容 上の歯は7本のインプラントを土台に、3つのパーツに分かれたブリッジを装着しました。分割することで、将来一部に問題が起きても全体を外さずに修理が可能となり、メンテナンス性に優れています。下の歯は、奥歯にインプラントブリッジを入れ、前歯は矯正治療で歯並びを整えました。
上顎:3パーツに分かれたフルジルコニアインプラントブリッジ
下顎:奥歯=ジルコニアインプラントブリッジ、前歯=ジルコニアクラウン治療期間 2年 費用 上顎:400万 税抜
下顎:330万 税抜リスク ブリッジを3つに分割しておくことで、将来もし一部に修理が必要になった場合でも、全体を外すことなく、問題の部分だけを対応できるのが大きな利点です。
歯科医師 大杉和輝のご紹介Doctor
複数の治療分野を深く理解することで、
選択出来る治療の幅が劇的に広がる。
私は、可能であれば、医科の総合病院で見られるような主治医を中心に各専門科が高度に連携する「インターディシプリナリー・モデル」が理想的な医療体制だと考えています。しかし、歯科の場合、その大部分が街のクリニックで提供されており、近隣に都合よく専門医が揃っているわけではありません。では、歯科でこの理想をどう実現するか。その答えは、私にとって「生涯勉強」に尽きます。
私はもともと天然歯の保存に興味を持ち、その分野を深く学び始めましたが、保存した天然歯を口腔内で長期に維持させるためには口腔機能の回復が必須であり、それを達成するためには、咬合支持を回復するためのインプラント治療、歯を機能的なポジションに移動させるための矯正治療の知識が必要です。さらに、矯正を行うためには歯周病治療が欠かせず、天然歯周囲の骨と歯ぐきの再生治療ができなければ、歯の保存自体が困難となります。
また、インプラントを適切な位置に埋入するためには、インプラント周囲の骨と歯ぐきの再生治療も必要となり、それができなければインプラントの埋入適用自体が不可能な場合もあり、妥協的な位置にインプラントを埋入すれば高い機能性・審美性を獲得することが難しくなります。特に歯周病が原因で重度に崩壊した口腔内では、お口の健康がある水準を超えた場合には、咬合支持の不足、歯列不正を有していることが多く、これらすべての分野の知識と技術が必要不可欠です。
このように、知識と技術は常に連鎖しているのです。
私は、歯科治療のオールラウンダーとして知識と技術を極め、主治医として治療全体をマネジメントする力を高めることが、理想的な歯科医療のスタイルだと信じています。患者様にとって最善の治療を提供するために、各分野を高いレベルでバランス良く理解することを目指し、日々学び続けています。
活動報告
- 2026.02.11
- 2026年OJミッドウィンターミーティングにて院長の大杉が優勝いたしました。
- 2025.11.02
- 2nd YOUNG Dental Innovators’ Meeting 2025
歯周・インプラント治療のフロンティア:パート3にて登壇 - 2025.03.31
- ザ・クインテッセンス/2025年2月号の特集記事を院長の大杉が執筆いたしました。
- 2023.10.22
- 第9回 日本国際歯科大会 の演者に院長の大杉が選出されました。
- 2023.08.14
- ストローマン・ジャパン主催の Young ITI Implant School OSAKA でGBR(骨増生)の講師を担当いたしました。
- 2023.07.24
- イタリアのフィレンツェにて Dr.Pierpaolo Cortellini の最先端の歯周病治療(歯周組織再生療法)コースを受講いたしました。
略歴
- 2015年3月 愛知学院大学卒業
- 2015年4月 医療法人社団石川歯科 勤務
- 2021年12月 医療法人大杉歯科医院 院長就任
所属学会
- 5D-Japan(リンク先:https://www.5-djapan.com/)
- OJ(Osseointegration study club of Japan)会員
- 日本臨床歯周病学会 会員
- 日本口腔インプラント学会 会員
- 日本顕微鏡学会 会員
- 静岡県口腔インプラント研究会 会員
- SPIS(Shizuoka Perio implant Study)会員
- はまゆう会 会員
資格等
歯を失った方や歯がボロボロの方の知識と経験を持つ歯科医師による無料相談
三重県津市の大杉歯科医院では、歯を失った方や歯がボロボロの方に関する無料相談を行っています。
歯を失った状態を放置すると骨吸収が進み、治療の選択肢が限られてしまうため、早期の受診をおすすめします。
豊富な症例実績を持つ院長が、CTなどによる精密検査の結果をもとに、一人ひとりに適した治療計画をご提案いたします。
総入れ歯にしたくない方や難症例でお悩みの方も、まずはお気軽にご相談ください。
Functional and Aesthetic Restoration重度歯周病の方の
機能性と審美修復
歯周病は、気づかないうちに進行し、最終的には歯を失ってしまう大きな原因です。重度に進んだ場合、歯がぐらつき、思うように噛めなくなるだけでなく、見た目にも影響が及びます。「まだ歯が残っているのに噛めない」「口元を見せるのが恥ずかしい」といった悩みは、生活の質を大きく下げてしまうものです。
歯を失った方・歯がボロボロの方の治療専門である医療法人大杉歯科医院では、このような重度歯周病の方に対し、噛む力の回復と自然な口元の再生を同時に目指した治療を行っています。
抜歯即時インプラントで
機能を早期に回復
歯周病で保存が難しい歯は、抜いても再び支えを失うことになりがちです。当院では、抜歯と同時にインプラントを埋め込む「抜歯即時インプラント」を適用できる場合があります。これにより、骨や歯ぐきの後退を防ぎながら、早い段階でしっかり噛める状態に近づけます。
さらに、オールオンフォーやオールオンシックスを用いることで、少ない本数で全体を支える固定式の歯を実現し、総入れ歯では得られない快適さを取り戻すことができます。
歯ぐきと骨の再生を考慮した
審美的なアプローチ
重度歯周病では、歯だけでなく歯ぐきや骨も大きく損なわれます。そのまま治療すると、不自然な見た目になってしまうこともあります。当院では、GBRやサイナスリフトといった骨造成、さらに歯周組織再生療法を組み合わせることで、歯ぐきのラインやボリュームも整え、自然な口元を再現することを重視しています。
単に「噛めるようにする」だけではなく、笑顔に自信を持てる口元を取り戻すこと。それが医療法人大杉歯科医院の歯周病治療の特徴です。
Functional and Aesthetic Restoration重度虫歯の方の
機能性と審美修復
歯周病は、気づかないうちに進行し、最終的には歯を失ってしまう大きな原因です。重度に進んだ場合、歯がぐらつき、思うように噛めなくなるだけでなく、見た目にも影響が及びます。「まだ歯が残っているのに噛めない」「口元を見せるのが恥ずかしい」といった悩みは、生活の質を大きく下げてしまうものです。
歯を失った方・歯がボロボロの方の治療専門である医療法人大杉歯科医院では、このような重度歯周病の方に対し、噛む力の回復と自然な口元の再生を同時に目指した治療を行っています。
残せる歯を最大限に活かし、
補綴で修復
虫歯が進んでも、歯根が健康に残っている場合は根管治療を行い、クラウンなどで修復することで保存が可能です。当院では「抜く一択」ではなく、残せる歯は徹底的に活かす方針を取っています。
一方で保存が難しい歯は抜歯し、インプラントで補います。インプラントは隣の歯を削る必要がなく、残っている歯に負担をかけないため、口全体の健康を守る選択肢となります。
全顎的な補綴設計で
噛み合わせと美しさを再構築
虫歯で多数の歯を失った場合、1本ずつ治療を繰り返すだけでは、噛み合わせや見た目の調和が崩れてしまうことがあります。当院では、CTや口腔内スキャナーを使った全顎的なシミュレーションを行い、噛む力と審美性を両立させる設計を行います。
こうして得られるのは、しっかり噛める安心感と、自然で美しい歯並びや口元。日常の食事や会話に加え、笑顔の印象まで大きく改善できることを目指しています。
入れ歯・ブリッジ・インプラント
オールオンフォーとの違い
歯を失った際の治療法として広く知られているのが「入れ歯」や「ブリッジ」です。これらも有効な方法ですが、長期的な快適性や口腔内の健康維持という観点では限界もあります。これに対し、歯を失った・歯がボロボロの患者様に寄り添ったインプラントや全顎インプラント治療(オールオンフォー/オールオンシックス)は、噛む力や見た目の自然さ、さらには骨の維持に至るまで、従来の方法とは大きく異なるメリットを持っています。
ここでは両者を比較し、その違いを整理します。
Difference01咬合力・安定感・発音・
違和感の差
入れ歯の場合
入れ歯は歯ぐきにのせて使用するため、天然歯のような咬合力は得られず、硬い食材や弾力のある食品を噛みにくいことがあります。また、装着時の違和感や発音のしづらさ、会話中に動いてしまう不安など、日常生活に影響が及ぶことも少なくありません。
ブリッジの場合
ブリッジは隣の歯を削って支台にするため、見た目は比較的自然ですが、土台となる歯に大きな負担がかかります。その結果、健康だった歯の寿命を縮めるリスクが生じることもあります。
インプラントの場合
1本単位で骨に固定するため、隣の歯を傷つけずに天然歯に近い咬合力を回復できます。単独で機能するため安定性が高く、違和感も少ないのが特長です。
All-on-4/6の場合
多数の歯を失った場合に適応され、4~6本のインプラントで片顎全体を支える治療法です。総入れ歯と比べて外れる心配がなく、発音や会話も自然に近い状態を取り戻せます。
Difference02骨吸収の観点と
長期安定性の違い
入れ歯の場合
歯を失った部位の顎骨には噛む刺激が伝わらないため、時間の経過とともに骨が痩せていきます(骨吸収)。これが進むと入れ歯が合わなくなり、作り直しや調整が繰り返し必要になることがあります。
ブリッジの場合
ブリッジも同様に、欠損部分の骨には刺激が加わらず、徐々に骨が痩せていく傾向があります。また、支えとなる歯に過剰な負担がかかり、歯の寿命を縮めてしまうリスクも見逃せません。
インプラントの場合
噛む刺激を直接骨に伝えるため、骨吸収を防ぎやすく、長期的な安定につながります。定期的なメンテナンスで機能性を維持できます。
All-on-4/6の場合
複数のインプラントが骨に均等に力を伝えるため、顎骨のボリュームを長期間保ちやすいのが特徴です。特に総入れ歯から移行する方にとっては、骨吸収の進行を抑えながら安定した咀嚼機能を維持できる大きなメリットがあります。
All-on-4/6とは?少ない本数で
全体を支える新しい治療
歯を失った際の治療法として広く知られているのが「入れ歯」や「ブリッジ」です。これらも有効な方法ですが、長期的な快適性や口腔内の健康維持という観点では限界もあります。これに対し、歯を失った・歯がボロボロの患者様に寄り添ったインプラントや全顎インプラント治療(オールオンフォー/オールオンシックス)は、噛む力や見た目の自然さ、さらには骨の維持に至るまで、従来の方法とは大きく異なるメリットを持っています。
ここでは両者を比較し、その違いを整理します。
Supporting Mechanism片顎4~6本で
12本相当を支える仕組み
オールオンフォー/シックスでは、奥歯のインプラントを斜めに埋入する独自の方法を採用します。これにより骨のある部分を有効に使い、片顎4~6本という少ない本数で全体を支えることが可能になります。
従来の治療では歯を失った本数に近い数のインプラントを必要とすることが多く、骨移植や大がかりな骨造成を伴うケースも少なくありませんでした。これに対しオールオンフォー/シックスは、骨の状態を最大限活かしながら安定した支持を得られるのが大きな特徴です。
さらに、インプラントは骨と結合する性質があるため、強固な土台として機能します。その上に装着する人工歯は色や形を調整でき、自然で快適な仕上がりを目指せます。
Functional recovery手術当日に固定式の仮歯※で
機能回復
この治療の大きなメリットのひとつは、手術当日に固定式の仮歯を装着できる可能性があることです。骨の状態や初期固定の安定性が十分に得られた場合、手術当日から見た目と会話の機能を取り戻せるケースがあります。
これにより「しばらく歯がない状態で過ごすのでは」という不安を軽減でき、社会生活への復帰もスムーズになります。仮歯は治療中に咬み合わせや審美性を確認するための大切なステップでもあり、最終的な人工歯をより精密に仕上げるために役立ちます。
※すべての方に即日装着が可能なわけではなく、骨量や全身の健康状態によって適応が異なります。医療法人大杉歯科医院では精密な検査を行い、安全性を確認したうえでご案内しています。
医療法人大杉歯科医院が選ばれる理由──院長の一貫執刀×精密診断
歯を失った・歯がボロボロの患者様に寄り添った全顎インプラントや骨造成といった高度な治療は、患者様にとって大きな決断を伴います。そのため「信頼できる歯科医師に任せたい」という思いを抱く方は多いでしょう。
三重県津市の歯を失った方・歯がボロボロの方の治療専門の医療法人大杉歯科医院では、その期待に応えるために院長自身が全工程を一貫して担当し、さらに精密機器を用いた徹底的な診断で、安全性と確実性を追求しています。
The director will handle itカウンセリングから補綴まで、
院長がすべてを担う
複数の歯科医師が入れ替わりで担当する医院では、説明の一貫性が失われたり、治療方針が微妙にずれることもあります。医療法人大杉歯科医院では、初回のカウンセリングから手術、人工歯の装着、治療後のメンテナンスに至るまで、すべてを院長が直接対応します。
これにより、患者様のご要望や小さな変化も見逃さず、最後まで責任を持って治療を進められる体制が整っています。「誰に任せればいいのか」という不安を感じることなく、安心して治療に臨めるのが当院の大きな強みです。
Precise diagnosis and treatmentCT・マイクロスコープを駆使した
精密な診断と治療
治療の成功に欠かせないのが、事前の正確な診断です。医療法人大杉歯科医院では歯科用CTを用いて、骨の厚みや高さ、神経・血管の位置を三次元で把握します。これにより、インプラントをどの位置・角度で埋入すべきかを精密に計画でき、リスクを最小限に抑えることが可能です。
さらに、マイクロスコープ(歯科用顕微鏡)を導入し、肉眼では見えにくい細部を拡大して確認しながら処置を行います。これによって、骨や歯ぐきの状態を詳細に把握し、緻密な治療が可能になります。
精密診断と院長の経験を組み合わせることで、長期的に安定し、機能性と見た目の両方を両立した治療を目指しています。
Functional and Aesthetic Restoration10年保証──
治療後も続く安心の約束
歯を失った・歯がボロボロの患者様に寄り添ったインプラント治療は一度の処置で終わりではなく、その後の長期的な安定が重要です。三重県津市の審美骨造成・オールオンフォー専門の医療法人大杉歯科医院では、患者様に安心して治療を受けていただくために、「10年完全保証」を導入しています。これは、当院が掲げる理念「患者様の変わりたいという想いに応え、最善の治療で信頼される歯科医院を目指す」を具現化した取り組みです。
なぜ「完全保証」に
踏み切ったのか
これまでの保証制度は、時間の経過とともに保証割合が減っていく仕組みでした。しかしそれでは「将来も安心して使い続けられるのか」という不安を完全には拭えません。
そこで医療法人大杉歯科医院では、治療から10年間は常に100%の保証を提供する制度へと進化させました。これは、私たちが自らの治療に確かな自信を持ち、患者様の未来を共に守り続けるという姿勢の表れです。
未来を共につくる
パートナーシップ
長期にわたる保証は、医院だけの努力では成立しません。
患者様と私たちが協力して口腔環境を維持することが大切です。
そのために、以下の取り組みをお願いしています。
定期メンテナンスの受診:3か月ごとを基本としたプロフェッショナルケアで、トラブルの早期発見・予防を行います。
正しいホームケアの実践:ブラッシング方法やフロス・歯間ブラシの使用、ナイトガードの装着など、歯科衛生士の指導に沿ったセルフケアを継続すること。
生活習慣の見直し:喫煙やコントロール不良の糖尿病などは治療結果に影響するため、改善が必要です。
このように、医院と患者様が二人三脚で取り組むことで、治療後の安定性を守り、保証制度を有効に保つことができます。
当院の
インプラント治療の費用Price
当院の費用の内訳と医療法人大杉歯科医院の透明性
インプラント治療は健康保険の適用外となる自由診療であり、治療費用は数十万円~100万円を超えるケースも珍しくありません。
そのため、金額だけを見ると「高い」と感じられるかもしれませんが、重要なのは“その中身に納得できるか”という点です。
医療法人大杉歯科医院では、以下すべての項目を含めた明瞭な料金設計を行い、事前にしっかりとご説明いたします:
| 処置 | 種類 | 料金 |
|---|---|---|
| インプラント | インプラント埋入(1st stage) | ¥150,000~200,000 |
| 頭出し | 2nd stage | ¥50,000 |
| 仮歯 | テンポラリーシリンダー+シェルテック | *ファイナルの費用に含める |
| ステント | ¥10,000 | |
| サージカルガイド | ¥100,000 | |
| インプラント上部 | ジルコニア築盛 | ¥150,000 |
| インプラント上部 | ジルコニアステイン | ¥150,000 |
| サイナスリフト | ¥100,000~300,000 | |
| 上顎 | ¥3,400,000~4,200,000 | |
| 下顎 | ¥3,400,000~4,000,000 |
※インプラント治療は自費診療(保険適用外)です。
※上下顎の同時治療で通常料金から10% OFF
※デンタルローンも使用可能です。
※価格はすべて税抜です。
費用に見合った安心と結果を提供するために、医療法人大杉歯科医院では“見えない部分のサポート”にも徹底してこだわりを持っています。
信頼できる治療」と「納得できる費用」、そして「安心できる保証」を、すべて揃えた環境でお迎えします。
インプラント治療をご検討の際は、どうぞお気軽にご相談ください。
歯を失った方や歯がボロボロの方の知識と経験を持つ歯科医師による無料相談
三重県津市の大杉歯科医院では、歯を失った方や歯がボロボロの方に関する無料相談を行っています。
歯を失った状態を放置すると骨吸収が進み、治療の選択肢が限られてしまうため、早期の受診をおすすめします。
豊富な症例実績を持つ院長が、CTなどによる精密検査の結果をもとに、一人ひとりに適した治療計画をご提案いたします。
総入れ歯にしたくない方や難症例でお悩みの方も、まずはお気軽にご相談ください。
骨が足りないと言われた方へ骨造成で広げる適応
歯を失った・歯がボロボロの患者様に寄り添ったインプラント治療を希望しても「顎の骨が薄いので難しい」と言われ、不安や諦めを感じた方は少なくありません。歯を失うとその部分の骨は時間とともに痩せていき、インプラントを固定するのに十分な厚みや高さがなくなることがあるためです。
しかし現在では、骨を再生・補強する骨造成(こつぞうせい)という治療を組み合わせることで、これまで適応が難しかったケースにも対応できる可能性が広がっています。三重県津市の審美骨造成・オールオンフォー専門の医療法人大杉歯科医院でも、精密な診断をもとに、患者様に必要な場合は骨造成を取り入れて治療を進めています。
GBRやサイナスリフトなど、
状態に応じた再生的アプローチ
骨造成には複数の方法があり、骨の不足している部位や量に応じて使い分けます。
GBR法(骨誘導再生法)
骨の不足した部位に人工骨や自家骨を補填し、特殊な膜で覆って骨の再生を促す方法です。部分的な骨欠損に適しており、インプラント埋入と同時に行える場合もあります。
サイナスリフト(上顎洞挙上術)
上顎奥歯の骨が薄いケースで行う方法です。上顎洞と呼ばれる空洞の粘膜を持ち上げ、そこに骨補填材を入れて厚みを確保します。広い範囲で骨が足りない場合に有効です。
このほか、ソケットリフトやスプリットクレストなど、患者様ごとの状態に適した方法を選択します。骨造成は「骨が足りないからインプラントはできない」と言われた方にとって、新たな選択肢をもたらす技術です。
CT診断で“即日仮歯の可否”や
治療の優先順位を判断
骨造成が必要かどうか、どの方法が適切かは、精密検査による診断が不可欠です。医療法人大杉歯科医院では歯科用CTを用いて骨の高さや厚み、神経・血管の位置を三次元的に確認します。
これにより、
- 抜歯と同時にインプラントを入れて仮歯を装着できるのか
- 先に骨造成を行い、治癒を待ってからインプラントを埋入するべきか
といった治療の順序や計画を正確に立てることができます。骨の状態は人によって異なるため、画一的な判断ではなく、患者様一人ひとりに合わせた診断が重要です。
歯がボロボロでも諦めない抜歯即時×口腔全体
の再建
「歯がほとんど残っていない」「虫歯や歯周病で歯がぐらついている」──そんな状態でも、治療を諦める必要はありません。従来は多数の歯を失うと総入れ歯しか選択肢がないと言われることもありましたが、現在では歯を失った・歯がボロボロの患者様に寄り添った抜歯即時インプラントや全顎的な再建治療によって、しっかり噛める機能と自然な見た目を取り戻すことが可能です。
三重県津市の審美骨造成・オールオンフォー専門の医療法人大杉歯科医院では、残せる歯は最大限保存しつつ、どうしても維持できない歯は抜歯と同時にインプラントへ置き換える方法も取り入れています。患者様が「噛む・話す・笑う」といった日常生活を再び安心して送れるよう、口腔全体を見据えた治療を行っています。
残せる歯は守り、残せない歯は
即時インプラントで補う
歯科治療の基本は「できる限り歯を残すこと」です。医療法人大杉歯科医院では、根管治療や補綴処置によって保存できる歯は大切に活かしていきます。
一方で、重度の歯周病や根の破折などにより保存が難しい歯は、抜歯と同時にインプラントを埋入する“抜歯即時インプラント”を選択できる場合があります。これにより、骨や歯ぐきの退縮を防ぎつつ治療期間を短縮できるのが特徴です。
さらに全顎的な治療が必要なケースでは、オールオンフォーなどと組み合わせて、抜歯 → インプラント埋入 → 仮歯装着を同日に行えることもあります(※骨や全身の状態により適応は異なります)。「歯がない状態で過ごすのでは」という不安を軽減し、社会生活への復帰をスムーズにすることができます。
噛む・見た目・会話を
トータルで再建する設計
歯の喪失は「噛めない」ことにとどまらず、見た目の変化や会話のしづらさ、心理的な負担など、生活の質全体に影響します。
そこで当院では、全顎的な再建治療において以下を重視しています。
咀嚼機能の回復:硬い食材も安心して噛めるように設計。
審美性の改善:天然歯に近い色や形の人工歯を用い、自然で調和の取れた口元を実現。
会話のしやすさ:発音を考慮した設計で、話すときの違和感を軽減。
つまり単に歯を「入れる」のではなく、機能性と審美性を兼ね備えたトータルな再建を目指すことが全顎治療の大きな意義です。
治療の流れFlow
歯を失った・歯がボロボロのときの治療は、大きく分けて「入れ歯」「インプラント」「オールオンフォー/オールオンシックス」といった選択肢があります。ここでは、それぞれの治療がおおまかにどのような流れで進むのかを整理しました。
- All-on-4/6
の場合 - インプラント
の場合 - 入れ歯
の場合
-

01カウンセリング
「噛めない」「入れ歯が合わない」などのお悩みを丁寧に伺い、ご希望や生活背景を共有します。
-

02審査診断
CTや口腔内スキャナーで骨や歯ぐきの状態を確認し、シミュレーションを実施。サージカルガイドを作製し、精密な治療計画を立てます。
-

03インプラント埋入・当日仮歯装着
インプラントを4~6本埋入し、条件が整えばその日のうちに固定式の仮歯を装着します。
-

04治癒期間
骨とインプラントが安定するまで仮歯で過ごし、噛み合わせや見た目を調整します。
-

05二次手術
チタンと顎骨が結合しましたら、再び歯肉を開き、インプラントにアバットメントと呼ばれる歯の土台を取りつけ致します。
-

06最終ブリッジ装着
治癒が確認できたら、自然で審美的な最終ブリッジを装着します。
-

07定期メインテナンス
治療後も3か月ごとにメンテナンスを行い、長期的に健康な状態を維持します。
-

01カウンセリング
ヒアリングとカウンセリングから始めます。その上で、インプラントを植立する位置、深さ、角度までを繊密に検討し診査、診断を行います。その際、大体の費用や期間をお伝えします。
-

02検査・診断
インプラント治療を進める前にまずは検査をさせていただきます。顎骨の量や質、形、お口の中の型取りや、CT、レントゲンにて撮影致します。インプラントの治療にはこれは必要不可欠で、顎骨にインプラントを埋め込み可能かここで判断致します。
-

03一次手術
一次手術では、顎骨にドリルで穴を開けてインプラントを埋め込むところまで行い、その後、歯肉で蓋をし縫合致します。※「一回法」では、インプラントを露出させたまま手術が終わり、2度目の手術はありません。
-

04結合期間
埋め込んだインプラントと顎骨を結合(オッセオインテグレーション)を定着させるため、3~6ヶ月ほど期間を置きます。
-

05二次手術
チタンと顎骨が結合しましたら、再び歯肉を開き、インプラントにアバットメントと呼ばれる歯の土台を取りつけ致します。
-

06仮歯の装着
仮歯を土台の上に装着し、実際に使用しながら噛み合わせや色合いなどを確認致します。違和感のあるところは担当の歯科医師と相談しながら調整し、人工歯の作製に向けてデータを収集致します。
-

07最終的な人工歯の装着
仮歯の使用で集めたデータから人工歯を作製致します。その後、噛み合わせや色合いをチェックしてから取りつけます。インプラント治療はこれで完了となります。
-

08メインテナンス
インプラントは埋めて終わりではありません。治療後も天然歯と同様に、毎日しっかり歯磨きする必要があります。
-

01カウンセリング
現在の不便さやご希望を伺い、部分入れ歯か総入れ歯かを相談します。
-

02審査診断
お口の状態を確認し、型取りや咬み合わせの記録を行います。
-

03入れ歯完成・装着
完成した入れ歯を装着し、日常生活に合わせて微調整を行います。
-

04定期調整
使用しているうちに合わなくなるため、数か月~数年ごとに調整や作り直しが必要です。
All-on-4/6のメリット・デメリット
歯周病は、気づかないうちに進行し、最終的には歯を失ってしまう大きな原因です。重度に進んだ場合、歯がぐらつき、思うように噛めなくなるだけでなく、見た目にも影響が及びます。「まだ歯が残っているのに噛めない」「口元を見せるのが恥ずかしい」といった悩みは、生活の質を大きく下げてしまうものです。
歯を失った方・歯がボロボロの方の治療専門である医療法人大杉歯科医院では、このような重度歯周病の方に対し、噛む力の回復と自然な口元の再生を同時に目指した治療を行っています。
メリット(優れた点)
-
短期間で機能回復が期待できる
状況により、手術当日に固定の仮歯を装着可能なケースも。歯がない期間を極力短くし、日常への復帰を迅速にサポートします。
-
高い安定性と快適さ
インプラントによる固定式の歯は、外れる不安や違和感が少なく、快適な使用感が得られます。
-
自然な見た目を再現
色や形を周囲に合わせることで、自然な笑顔や口元を取り戻せます。笑顔への自信に繋がる方も多くいらっしゃいます。
-
顎骨への刺激が維持できる
インプラントが骨に直接力を伝えるため、骨吸収を防ぎやすく、長期にわたる口腔環境の安定が期待されます。
デメリット(知っておくべき点)
-
自由診療のため治療費が高額になりやすい
保険対象外であるため、費用面が負担になることがあります。治療前に支払い方法やローンの活用などを確認することが大切です。
-
手術を伴う治療である
インプラント埋入は外科処置です。体調によっては適応が難しい場合もあるため、全身の健康状態によっては慎重に判断する必要があります。
-
治療の適応が限られることもある
顎骨が極端に薄い、あるいは健康状態に懸念がある場合には、適応外となるケースもあります。ただし骨造成によって対応可能な場合もあります。
-
定期的なメンテナンスが不可欠
長期安定のためには、ご自宅での日常ケアと医院での定期クリーニングが重要です。継続しないとトラブルのリスクが高まります。
よくある質問FAQ
歯を失った・歯がボロボロの患者様に寄り添った全顎インプラントや骨造成を検討される患者様からは、治療そのものだけでなく「術後の生活はどうなるのか」「保証はあるのか」といった具体的な疑問をいただくことが多くあります。ここでは三重県津市の審美骨造成・オールオンフォー専門の当院に特にお問い合わせの多い内容を、Q&A形式でまとめました。
-
A
手術は局所麻酔に加え、必要に応じて静脈内鎮静を併用するため、処置中の痛みはほとんど感じません。術後は腫れや軽度の痛みが出る場合がありますが、処方薬でコントロールできる範囲です。
-
A
腫れは一般的に数日で落ち着きます。食事は当面やわらかいものから始め、仮歯に慣れてきたら徐々に通常の食事に移行できます。
-
A
デスクワークなら数日後、体を使う仕事やスポーツなどは状態を見ながら再開していただきます。無理のない範囲での復帰をおすすめします。
-
A
インプラント周囲炎や感染、出血などのリスクはゼロではありません。術前に全身状態をしっかり確認し、術後も定期メンテナンスを受けることでリスクを抑えられます。
-
A
大杉歯科医院では、インプラント治療に10年完全保証を導入しています。安心して治療を受けていただけるよう、トラブル時もサポートできる体制を整えています。
-
A
定期的にメンテナンスに通っていただくこと、そして日々のセルフケアをしっかり実践していただくことが条件になります。これにより治療の安定性も保たれます。
-
A
喫煙やコントロール不良の糖尿病、他院での処置、事故や過失による破損などは対象外になることがあります。詳しい内容は事前にご説明いたします。
-
A
高血圧や心疾患、糖尿病などがある方は主治医と連携をとりながら慎重に進めます。必ずしも受けられないわけではありませんが、安全性を最優先に判断します。
歯を失った方や歯がボロボロの方の知識と経験を持つ歯科医師による無料相談
三重県津市の大杉歯科医院では、歯を失った方や歯がボロボロの方に関する無料相談を行っています。
歯を失った状態を放置すると骨吸収が進み、治療の選択肢が限られてしまうため、早期の受診をおすすめします。
豊富な症例実績を持つ院長が、CTなどによる精密検査の結果をもとに、一人ひとりに適した治療計画をご提案いたします。
総入れ歯にしたくない方や難症例でお悩みの方も、まずはお気軽にご相談ください。
〒510-0303 三重県津市河芸町東千里175-2
| 診療時間 | 月 | 火 | 水 | 木 | 金 | 土 | 日 |
|---|---|---|---|---|---|---|---|
| 9:00 – 13:00 | ● | ● | ● | ● | ● | ||
| 14:00 – 18:00 | ● | ||||||
| 15:00 – 19:00 | ● | ● | ● | ||||
| 14:00 – 17:30 | ● |
※土曜日は17:30/水曜日は18:00まで
【休診】木・日・祝
近鉄名古屋線「千里駅」徒歩4分 駐車場16台完備















