審美歯科治療
審美歯科治療
素敵なスマイルは、健康な⻭と健康な⻭茎のバランスによって生まれるものです。魅力的な笑顔は、外見的な美しさだけでなく、精神的な豊かさや若さの象徴でもあるといえるでしょう。
審美歯科治療について
(実際の症例)

「歯冠長延長術(クラウンレングスニング)」は、歯肉を切開し、歯を支える骨(歯槽骨)を削ることで、治療が必要な部分を露出させる方法です。虫歯等が進行し、歯ぐきが覆いかぶさった状態になってしまっている場合に、歯ぐきを少し下げ治療を施すものです。
歯ぐきを上に露出させることで、精密な印象採得や、細菌感染の起こしにくい環境を作り、結果として長持ちさせる治療が可能となります。
症例の概要・主訴
| 治療名 | セラミッククラウン/ 歯冠長延長術 |
| 基礎データ | 24歳/女性 |
| 治療期間 | 1年 |
| 執刀医 | Dr. 大杉 |
| 治療費 |
33万円 ■内訳 歯冠長延長術20万円 仮歯1万円 セラミッククラウン12万円 |
| 概要 |
歯は歯肉に支えられているので、綺麗な歯を再現するには、綺麗な歯肉が必要となります。不完全萌出によりガミースマイルを呈していたので、その根本的な問題(歯肉と骨の問題)を先に解決しました。 その後、セラミック修復を行うことにより、歯・歯肉の調和のとれた審美的な口元を再現することができました。 |
| 主な副作用 |
術後疼痛、コンポジットレジン破損 |
(実際の症例)

有茎弁歯肉移植術、結合組織移植術、遊離歯肉移植術、GTR法(組織再生誘導法)などを活用し、虫歯や歯周病等によって退縮してしまいやせた歯茎に対して、結合組織移植術、遊離歯肉移植術を行い、審美的な改善や、歯肉退縮の予防、清掃性の改善を行います。
症例の概要・主訴
| 治療名 | 結合組織移植 |
| 基礎データ | 54歳/女性 |
| 治療期間 | 3ヶ月 |
| 執刀医 | Dr. 大杉 |
| 治療費 |
15万円 ■内訳 結合組織移植15万 |
| 概要 |
歯ぐきの下がりが気になる+露出している根面がしみるとのことで、根面被覆を希望されました。 |
| 主な副作用 |
術後疼痛 |
(実際の症例)

ダイレクトボンディングによる治療は、セラミックによる被せ物(クラウン)や詰め物(インレー)に比べて、歯を削る量を抑えることができる手法です。
当院では、色や透明感の異なる約十種類のプラスチックの中から、患者様の歯に合わせ選んだ多種類のプラスチックを重ね合わせていきます。従来の治療では困難であった自然な歯を再現可能としています。
症例の概要・主訴
| 治療名 | 臼歯ダイレクトボンディング |
| 基礎データ | 54歳/女性 |
| 治療期間 | 1回 |
| 執刀医 | Dr. 大杉 |
| 治療費 |
6万円 ■内訳 精密コンポジットレジン修復3万×2本 |
| 概要 |
銀歯の見た目が気になる、銀歯の下のむし歯が気になるとのことで、見た目を改善する治療をさせていただきました。歯にしっかりと接着するので適合も良く、清掃性も高いです。 |
| 主な副作用 |
コンポジットレジン破損 |
(実際の症例)

セラミッククラウンはご本人の歯を土台にしながら審美面を大きく改善でき、また噛み合わせや歯並びの矯正なども合わせて対応できることが特徴です。
当院では患者様一人ひとりに向き合った精密検査・診断を通してお口全体のバランスを整え、機能的で長持ちする審美治療としてセラミッククラウンをお作りしています。
症例の概要・主訴
| 治療名 | 臼歯セラミッククラウン |
| 基礎データ | 44歳/女性 |
| 治療期間 | 3ヶ月 |
| 執刀医 | Dr. 大杉 |
| 治療費 |
16万円 ■内訳 精密コンポジットレジン修復3万×2本 セラミッククラウン10万 |
| 概要 |
適合が悪いとクラウンが入っていると歯ぐきの境目が磨きづらくなり、歯周病やむし歯の原因となります。治療後には適合も良く、清掃性も高い形態になっています。 |
| 主な副作用 |
コンポジットレジン破損、セラミック破損 |
(実際の症例)

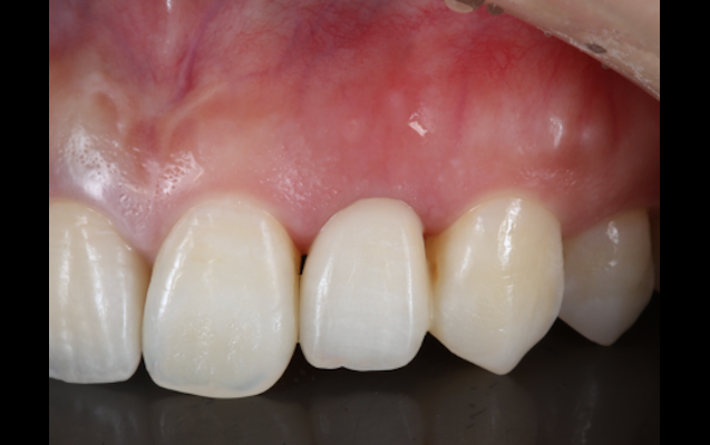
接着ブリッジは、通常のブリッジと同じように歯を支えるために隣接した歯を使いますが、土台となる歯の切削量が非常に少ないのが特徴です。
麻酔を行う必要もなく、患者様への負担も少ない上、削る範囲が虫歯になりやすい象牙質に及ばないため二次的な虫歯にもなりにくい治療法です。
症例の概要・主訴
| 治療名 | 前歯接着性ブリッジ |
| 基礎データ | 46歳/女性 |
| 治療期間 | 4ヶ月 |
| 執刀医 | Dr. 大杉 |
| 治療費 |
30万円 ■内訳 接着性ブリッジ20万 抜歯窩温存術10万 |
| 概要 |
インプラント治療を希望されて来院された方ですが、治療期間・外科的侵襲を考慮し、セラミックでの治療を希望されました。側切歯(前から2番目の歯)の場合はこのような治療も可能です。 |
| 主な副作用 |
セラミック脱離、セラミック破損 |
(実際の症例)

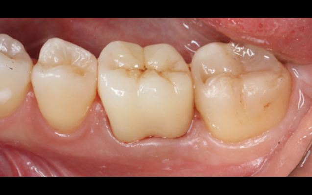
虫歯が範囲が狭い場合や治療済の金属を入れ替える場合、また患者様の健全な歯が多く残っている場合に最適な審美歯科治療です。
インレーは小さな虫歯、アンレーは中程度の虫歯に詰めるセラミックの詰め物のことで、歯の透明感や色を再現することが可能で、自然な仕上がりの審美性に高い治療方法となります。
症例の概要・主訴
| 治療名 | セラミックアンレー |
| 基礎データ | 47歳/女性 |
| 治療期間 | 3ヶ月 |
| 執刀医 | Dr. 大杉 |
| 治療費 |
8万円 ■内訳 セラミックアンレー8万 |
| 概要 |
銀歯の適合が悪いと隙間からむし歯が進行し、治療が遅れると神経を失うことになります。セラミック治療は精密な形成、精密な型取りを行い、熟練した技工士が適合の良い補綴物を作製するので、高い適合性を獲得することができます。また、見た目も自然な仕上がりになります。 |
| 主な副作用 |
セラミック破損 |
(実際の症例)

歯を削らずに歯自体の色調をコントロールする治療法です。ホワイトニングで使われる主な薬は過酸化水素で、この過酸化水素が歯の表面にあるエナメル質に沈着した色素を細かく分解することで歯が白くなります。
ホワイトニングは永続的なものではありませんが、長持ちさせるためにも当院では施術後のメンテナンスも合わせてサポート致します。
症例の概要・主訴
| 治療名 | ホワイトニング |
| 基礎データ | 女性 |
| 治療期間 | 1年 |
| 執刀医 | Dr. 大杉 |
| 治療費 |
45万円 ■内訳 精密根管治療5万×2本 歯根端切除術15万 ホワイトニング3万×2(上下顎) 築造2万×2本 精密コンポジットレジン修復5万×2本 |
| 概要 |
他院にて抜歯と言われた患者様です。精密根管治療と歯根端切除術で根尖病変は治癒しました。審美性を回復するため、ホワイトニングを先に行い、その色似合わせてダイレクトボンディングを行っています。 |
| 主な副作用 |
術後疼痛、知覚過敏、コンポジットレジン破損 |
(実際の症例)

ガムピーリングは、色素沈着等により変色してしまった歯肉にピーリング薬を塗ることで綺麗なピンク色に戻す治療です。
患者様の中には「歯ぐきが黒く自信が持てない」という方も少なくありません。歯のホワイトニングや歯科矯正と同様に歯ぐきのケアは大切なものと考え、当院ではガムピーリングをご提供しています。
症例の概要・主訴
| 治療名 | ガムピーリング |
| 基礎データ | 30歳/女性 |
| 治療期間 | 3回 |
| 執刀医 | Dr. 大杉 |
| 治療費 |
4万円 ■内訳 ガムピーリング2万×2(上下顎) |
| 概要 |
喫煙により歯ぐきが黒ずんでくることがあります。歯ぐきのリモデリングを促す薬液を塗布を数回行うことで改善することができます。 |
| 主な副作用 |
術後疼痛 |

費用
| 処置 | 種類 | 料金 |
|---|---|---|
| セラミック治療 | 前歯クラウン(ジルコニア築盛、ジルコニア、emaxステイン) | ¥120,000〜150,000 |
| 前歯ベニア(ジルコニア築盛、耐火模型法、emaxステイン) | ¥120,000〜150,000 | |
| 前歯ダミー(ジルコニア築盛、ジルコニア、emaxステイン) | ¥120,000〜150,000 | |
| 前歯接着性ブリッジ | ¥200,000 | |
| 臼歯クラウン(ジルコニア or emaxステイン) | ¥100,000〜120,000 | |
| 臼歯インレー、アンレー(ジルコニア or emaxステイン) | ¥80,000〜100,000 | |
| 臼歯ダミー(ジルコニア or emaxステイン) | ¥100,000〜120,000 | |
| ダイレクトボンディング | 前歯 | ¥60,000 |
| 臼歯(範囲・大) | ¥50,000 | |
| 臼歯(範囲・小) | ¥30,000 | |
| 歯周形成外科 | 歯冠長延長術 | 1本¥50,000〜範囲による |
| 結合組織移植 | 1本¥50,000〜範囲による | |
| 遊離歯肉移植 | 1本¥50,000〜範囲による |
※デンタルローンも使用可能です。
※価格はすべて税抜です。
マウスピース矯正とは?
