症例集
ホーム 症例集
Periodontal treatment
重度歯周病の治療
Implant
インプラント治療
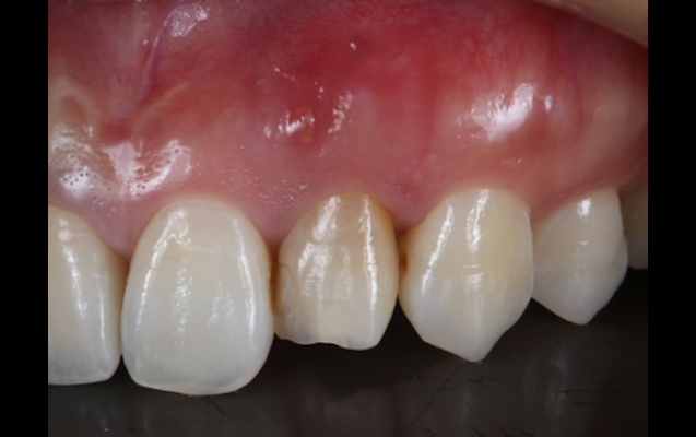
Aesthetic
審美歯科治療
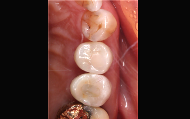
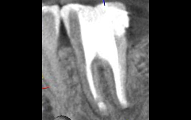
Root canal
精密根管治療
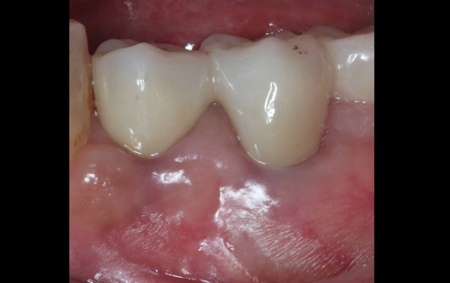
Tooth transplant
自家歯牙移植
Microscope
顕微鏡歯科

〒510-0303 三重県津市河芸町東千里175-2
| 月 | 火 | 水 | 木 | 金 | 土 | 日 | |
| 9:00 - 13:00 | ● | ● | ● | - | ● | ● | - |
| 14:00 - 18:00 | - | - | ● | - | - | - | |
| 15:00 - 19:00 | ● | ● | - | - | ● | - | - |
| 14:00 - 17:30 | - | - | - | - | - | ● | - |
※土曜日は17:30/水曜日は18:00まで 【休診】木・日・祝
近鉄名古屋線「千里駅」徒歩4分 駐車場16台完備
予約・お問合せはこちら 059-245-5358
初診専用WEB予約
津市の皆さまとともに、信頼できる歯科医院を目指して
当院は三重県津市に根ざし、安心して通える歯科医院であり続けることを大切にしています。 その取り組みの一環として、第三者機関であるNPO法人日本歯科医療評価機構による患者様満足度アンケートを実施しています。調査は匿名で行われ、患者様の個人情報が当院に伝わることはありませんので、安心してご協力いただけます。いただいたご意見は真摯に受け止め、日々の診療や医院運営の改善に活かしています。アンケート結果は当院ホームページ内の「第三者機関による患者様アンケート結果」バナーからご覧いただけます。
日本歯科医療評価機構とは
NPO法人「日本歯科医療評価機構」は、患者様が安心して通える歯科医院を選べるようにするために設立された非営利組織です。「津市でどの歯医者を選べばよいのかわからない」「信頼できる歯医者に通いたい」といった患者様の声に応えるべく、厳しい基準に基づいた客観的な評価を行い、信頼性の高い歯科医院を認定しています。この第三者機関による取り組みは、患者様がより安心して質の高い歯科医療を受けられる環境づくりに大きく貢献しています。当院は三重県津市の歯医者・歯科として、患者様一人ひとりが長く安心して通院できる歯科医院であり続けることを使命としています。
評価機構の仕組みを活用しながら、「口コミで評判の良い歯医者でありたい」「家族や友人にもおすすめしたいと思っていただける歯医者でありたい」という想いのもと、これからもサービス品質の向上に努めてまいります。
©2021-2025 津市の歯医者・歯科|三重県インプラント・重度歯周病専門外来の医療法人大杉歯科医院






