
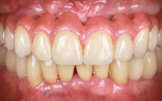
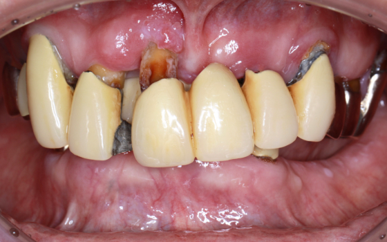
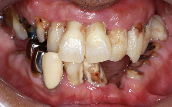
前歯のインプラント治療
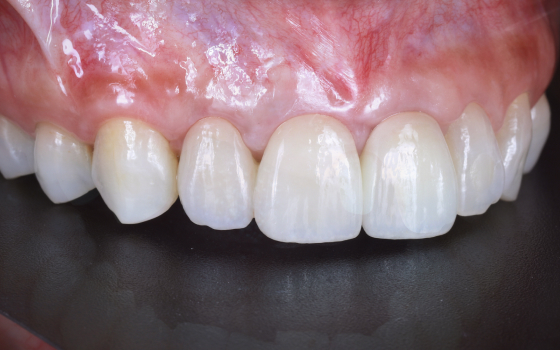
| 治療名 | 前歯のインプラント治療 |
| 基礎データ | 40代/女性 |
| 治療期間 | 1年6ヶ月 |
| 執刀医 | Dr. 大杉 |
| 治療費 | 98万円(税抜) |
| 概要 | 骨の再生、歯肉の増大および形態の調整、インプラント埋入 |
| 治療に対するリスク | 硬い歯ブラシで強く磨くと、再建した歯肉が傷つく可能性があるので注意してください。 |

三重県津市の審美インプラント治療専門外来の医療法人大杉歯科医院には、他院での診断に納得できずセカンドオピニオンとして来院され、
そのまま治療をお任せいただく患者さまが多くいらっしゃいます。
その背景には、当院が“表面的な治療”ではなく、
歯を長く守るための本質的な医療を追求している姿勢があります。
私たちは、歯の「外側」にアプローチする歯周病治療と、「内側」に対処する根管治療の両立を重視しています。これらが複雑に絡む症例にも対応できるよう、歯科用CTやマイクロスコープを駆使し、原因を見逃さない精密な診断と安全な処置を行っています。
また、インプラントを成功させるには、歯そのものだけでなく、支える骨や歯ぐきの状態が重要です。三重県津市の審美インプラント治療専門外来の医療法人大杉歯科医院では、骨再生や歯肉形成といった再生医療技術にも力を入れており、
難症例にも柔軟に対応できる高度な体制を整えています。

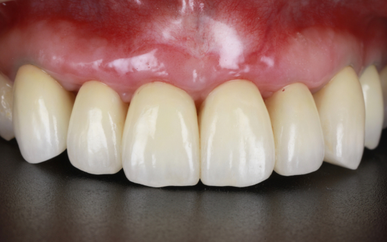
| 治療名 | 前歯のインプラント治療 |
| 基礎データ | 40代/女性 |
| 治療期間 | 1年6ヶ月 |
| 執刀医 | Dr. 大杉 |
| 治療費 | 98万円(税抜) |
| 概要 | 骨の再生、歯肉の増大および形態の調整、インプラント埋入 |
| 治療に対するリスク | 硬い歯ブラシで強く磨くと、再建した歯肉が傷つく可能性があるので注意してください。 |

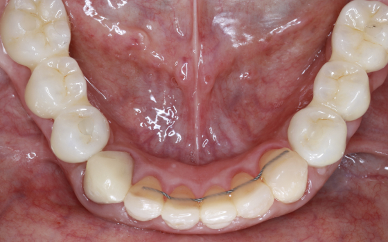
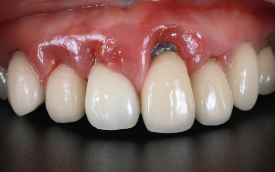
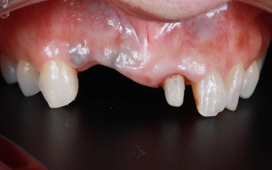
| 治療名 | 前歯のインプラント治療 |
| 基礎データ | 40代/女性 |
| 治療期間 | 1年 |
| 執刀医 | Dr. 大杉 |
| 治療費 | 140万円(税抜) |
| 概要 | 歯肉の増大および形態の調整、インプラント埋入、インプラント周囲の骨吸収を抑える処置 |
| 治療に対するリスク | 治療後は、指示されたブラッシング法を守りながら、定期的なメンテナンスを受けてください。管理を怠ると、インプラント周囲炎のリスクがあります。 |

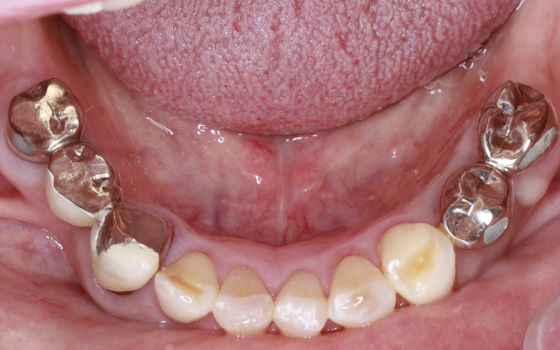
60代女性の患者様に対し、臼歯部のインプラント治療を行いました。歯ぐきの形態を整えたうえでインプラントを埋入し、周囲の骨吸収を抑える処置を実施。機能性と長期的な安定を重視し、自然な噛み合わせの回復を目指しました。
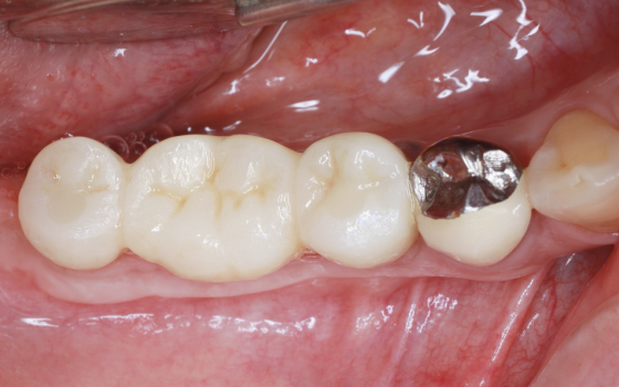
| 治療名 | 臼歯のインプラント治療 |
| 基礎データ | 60代/女性 |
| 治療期間 | 8ヶ月 |
| 執刀医 | Dr. 大杉 |
| 治療費 | 250万円(税抜) |
| 概要 | 歯肉の形態の調整、インプラント埋入、インプラント周囲の骨吸収を抑える処置 |
| 治療に対するリスク | 硬いものを噛むとセラミックが欠けることがあります。氷やビーフジャーキーなどの非常に硬い物を食べる際は注意してください。 |

| 治療名 | 臼歯のインプラント治療 |
| 基礎データ | 60代/女性 |
| 治療期間 | 8ヶ月 |
| 執刀医 | Dr. 大杉 |
| 治療費 | 107万円(税込み) |
| 概要 | 骨の再生、歯肉の形態の調整、インプラント埋入 |
| 治療に対するリスク | 長期使用により噛み合わせが低くなることがありますが、材料を付け足すことで対応可能です。 |

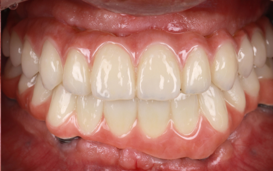
| 治療名 | 全顎のインプラント治療 |
| 基礎データ | 70代/男性 |
| 治療期間 | 1年6ヶ月 |
| 執刀医 | Dr. 大杉 |
| 治療費 | 上顎:420万円(税抜) 下顎:330万円(税抜) |
| 概要 | 虫歯・歯周病が原因で噛み合わせが崩壊していたので、全顎的なインプラント治療を行い、口腔機能の回復を行いました。 上顎:ピンクポーセレンを用いたフルジルコニアインプラントブリッジ 下顎:奥歯=ジルコニアインプラントブリッジ、前歯=ジルコニアクラウン |
| 治療に対するリスク | セラミックのすり減りを防ぐために、ナイトガードを作成しています。毎晩使用することで、セラミックを長持ちさせることができます。 |

| 治療名 | 全顎のインプラント治療 |
| 基礎データ | 40代/男性 |
| 治療期間 | 1年 |
| 執刀医 | Dr. 大杉 |
| 治療費 | 上顎:330万円(税抜) 下顎:330万円(税抜) |
| 概要 | 1回の手術でインプラントを埋め込み、即時の仮歯を装着して早期の機能回復を図りました。その後、噛み合わせを調整し、セラミックの製作を行いました。 上顎:ピンクポーセレンを用いたフルジルコニアインプラントブリッジ(All-on-4) 下顎:ピンクポーセレンを用いたフルジルコニアインプラントブリッジ(All-on-4)。 |
| 治療に対するリスク | 術後、硬い物を食べないでください。インプラントが骨に結合するまで2ヶ月かかります。この期間中に強い負荷をかけると、結合しないことがあります。 |
大杉歯科医院では、歯を失った方を対象に、無料のインプラントカウンセリングを実施しています。
「歯がない状態をそのままにしている」「他院で治療を断られた」など、どんなお悩みにも真摯に向き合い、今後の選択肢をご提示いたします。
ご相談を担当するのは、インプラント症例の豊富な歯科医師です。歯科用CTをはじめとした精密な検査結果をもとに、患者さま一人ひとりに適した治療プランをご提案します。
お口の健康は時間とともに変化します。まずは現状を把握することから始めてみませんか?
無理な勧誘などは一切行いませんので、安心してご予約ください。
歯を失うことで、食べることの楽しさや、人との会話の機会が減ってしまった経験はありませんか?
「硬いものが食べられない」「口元が気になって人前で笑えない」――そんな思いを抱えたままの日常は、本来の自分らしさを奪い、心の豊かさまでも損ねてしまいます。
医療法人大杉歯科医院では、歯を失った方が再び自然な笑顔と快適な食生活を取り戻せるよう、インプラント治療を提供しています。
インプラントは、人工の歯根(インプラント体)を顎の骨に埋め込むことで、失われた歯の機能を補う先進的な治療法です。入れ歯のように外れる心配もなく、ブリッジのように周囲の歯を削る必要もありません。まるで自分の歯のようにしっかりと噛めるのが最大の特長です。
三重県津市の審美インプラント治療専門外来の医療法人大杉歯科医院では、精密なCT診断に基づいて治療計画を立案し、機能面だけでなく見た目の美しさにも配慮した仕上がりを目指します。
また、骨の量が足りない方や、他院で治療を断られたような難症例にも対応できる高度な技術と設備を備えています。
インプラントに対して「手術が怖い」「本当に大丈夫?」といった不安を感じる方も少なくありません。そこで私たちは、初回カウンセリングから時間をかけて丁寧にご説明し、納得して治療に進んでいただけるよう心がけています。
無理にすすめるのではなく、一緒に治療方針を考える“パートナー”のような立場であることを大切にしています。
「しっかり噛めるって、こんなに快適だったんだ」と、治療を終えた多くの方が笑顔でお話しくださいます。
噛める喜び、思いきり笑える幸せ――それを取り戻すための第一歩を、私たちと一緒に踏み出してみませんか?
「1本だけだから」「見えない場所だから」と、歯を失ったまま放置してしまってはいませんか?
実はこの“何もしない”という選択が、お口だけでなく全身の健康にまで悪影響を及ぼす可能性があるのです。
まず、歯を1本失うと、その隣の歯が空いたスペースに倒れ込んだり、噛み合っていた歯が伸びてきたりして、歯列全体のバランスが崩れていきます。
その結果、噛み合わせにズレが生じ、顎関節症や頭痛、肩こりといった不調を引き起こすこともあります。
さらに、噛み合わせが乱れると咀嚼機能が低下し、消化不良や栄養の偏りにもつながりかねません。
また、歯を支えていた顎の骨は、歯を失うと次第に痩せていきます。
骨のボリュームが減ることで、口元がやせ細り、老けた印象になるケースも少なくありません。
見た目だけでなく、入れ歯が合わなくなる、将来的にインプラントが難しくなる、といったデメリットも生じます。
こうした負の連鎖を断ち切るために、早期の対応が重要です。
インプラントは1本の歯を周囲に影響させずに補える治療法であり、噛む力を顎にしっかり伝えることで、骨の吸収を防ぐ効果も期待できます。
医療法人大杉歯科医院では、「歯を失ったこと」そのものではなく、「失ったまま放置してしまうこと」が健康リスクであると考えています。
すでに時間が経ってしまった場合でも、あきらめる必要はありません。
三重県津市の審美インプラント治療専門外来の医療法人大杉歯科医院では、骨が少ない方に対してもGBR(骨再生誘導法)やサイナスリフト(上顎洞底挙上術)などの再生療法を駆使し、インプラント治療の可能性を広げています。
見た目の問題だけでなく、健康を守るという視点からも、歯を補うことは極めて重要です。
「まだ大丈夫」と思っていた歯の欠損が、将来の大きな後悔につながらないように――
ぜひ一度、ご自身の口の中と向き合う時間を持ってみてください。

理想のかたちを実現するには、「どんな歯をつくるか」から逆算した治療計画が欠かせません。三重県津市の審美インプラント治療専門外来の医療法人大杉歯科医院では、CTによる立体的な画像診断をもとに、インプラントを「どこに・どの角度で・どの深さに」埋入すべきかを細かくシミュレーションし、機能性と見た目の両立を図ります。

「骨が少ないから難しい」と言われた方も、GBR(骨再生誘導法)やサイナスリフトなどの技術を用いることで、顎骨を再建してインプラント埋入を可能にすることができます。長年の経験と技術を生かし、他院で断られたケースでもあきらめずに治療へ導きます。

噛めるだけではなく、「自然な口元を取り戻したい」というご希望にも応えるのが、三重県津市の審美インプラント治療専門外来の医療法人大杉歯科医院のインプラント治療です。特に前歯のような審美領域では、歯ぐきの厚み・ライン・色味まで精密に再現する必要があります。三重県津市の審美インプラント治療専門外来の医療法人大杉歯科医院ではマイクロスコープ(歯科用顕微鏡)を使用し、肉眼では見えない細部まで処置可能な体制を整え、違和感のない美しい仕上がりを目指します。

治療は医師だけで決めるものではありません。三重県津市の審美インプラント治療専門外来の医療法人大杉歯科医院では、インプラントの選択肢だけでなく、入れ歯やブリッジなど他の治療法との違いも丁寧に解説し、患者さまと一緒に最善の方針を考えます。「よくわからないまま治療が始まる」ことがないよう、納得感のある説明と対話を大切にしています。
「インプラントは本物の歯のように見えますか?」というご質問を多くの患者さまからいただきます。
その答えは、「はい、ほとんど天然歯と見分けがつかないほど自然に仕上がります」。
医療法人大杉歯科医院では、見た目の美しさ=審美性にも妥協しません。とくに前歯など人目につきやすい部分には、ジルコニアやセラミック素材を採用し、色調・形状・透明感を細やかに設計。隣の歯との調和はもちろん、歯ぐきとのバランスや“ブラックトライアングル”の発生リスクにも注意を払いながら、自然な口元を再現します。
さらに、インプラントの大きな利点は「機能性」にもあります。入れ歯のように外れることがなく、しっかり固定されるため、自分の歯のような感覚で噛んだり話したりすることが可能です。
りんごやたくあんなど、硬めの食材もしっかり噛める力を取り戻せるのは、多くの患者さまが実感される大きなメリットです。
また、インプラントは顎の骨と結合する構造のため、噛むたびにその刺激が骨へ伝わり、顎の骨が痩せるのを防ぐ効果も期待できます。
「見た目」「機能」「健康」の3つを兼ね備えた治療法――それが、私たちが提供するインプラントの魅力です。
歯を失った際の治療法には、インプラント以外にもブリッジや入れ歯といった選択肢があります。
それぞれに特徴と適応がありますので、違いを正しく理解したうえで選択することが大切です。
ブリッジは、欠損部の両隣の歯を削って土台とし、そこに連結した人工歯をかぶせる方法です。保険が適用されるケースも多く、比較的スピーディに治療が完了する一方で、健康な歯を削る必要があるという点が大きなデメリットです。支えとなる歯に大きな負担がかかることで、将来的にその歯の寿命を縮めてしまうリスクもあります。
入れ歯は、部分入れ歯・総入れ歯のいずれも保険診療の対象で費用を抑えやすい反面、「外れやすい」「異物感がある」「しっかり噛めない」といったお悩みがつきものです。とくに硬いものや繊細な食感の食事を楽しむ際には、違和感を覚える方も多くいらっしゃいます。
一方、インプラントは周囲の歯を削ることなく、失った歯の場所に単独で人工歯根を埋め込む治療です。天然歯に近い咬合力と美しさを再現でき、見た目の自然さや、噛むときの安心感にも大きな違いがあります。
また、長期的な視点で見ても、口腔全体のバランスを保ちやすく、他の歯に悪影響を及ぼしにくい点も特筆すべきポイントです。
ただし、インプラントは自由診療に該当し、外科的手術が必要となるため、誰にとっても最適というわけではありません。
そのため三重県津市の審美インプラント治療専門外来の医療法人大杉歯科医院では、インプラントだけを一方的に勧めることはせず、ブリッジや入れ歯との違いを明確にご説明したうえで、患者さまの希望やお口の状態に合った最良の治療を一緒に考えます。

ヒアリングとカウンセリングから始めます。その上で、インプラントを植立する位置、深さ、角度までを繊密に検討し診査、診断を行います。その際、大体の費用や期間をお伝えします。

インプラント治療を進める前にまずは検査をさせていただきます。顎骨の量や質、形、お口の中の型取りや、CT、レントゲンにて撮影致します。インプラントの治療にはこれは必要不可欠で、顎骨にインプラントを埋め込み可能かここで判断致します。

一次手術では、顎骨にドリルで穴を開けてインプラントを埋め込むところまで行い、その後、歯肉で蓋をし縫合致します。※「一回法」では、インプラントを露出させたまま手術が終わり、2度目の手術はありません。

埋め込んだインプラントと顎骨を結合(オッセオインテグレーション)を定着させるため、3~6ヶ月ほど期間を置きます。

チタンと顎骨が結合しましたら、再び歯肉を開き、インプラントにアバットメントと呼ばれる歯の土台を取りつけ致します。

仮歯を土台の上に装着し、実際に使用しながら噛み合わせや色合いなどを確認致します。違和感のあるところは担当の歯科医師と相談しながら調整し、人工歯の作製に向けてデータを収集致します。

仮歯の使用で集めたデータから人工歯を作製致します。その後、噛み合わせや色合いをチェックしてから取りつけます。
インプラント治療はこれで完了となります。

インプラントは埋めて終わりではありません。治療後も天然歯と同様に、毎日しっかり歯磨きする必要があります。

大杉歯科医院では、歯を失った方を対象に、無料のインプラントカウンセリングを実施しています。
「歯がない状態をそのままにしている」「他院で治療を断られた」など、どんなお悩みにも真摯に向き合い、今後の選択肢をご提示いたします。
ご相談を担当するのは、インプラント症例の豊富な歯科医師です。歯科用CTをはじめとした精密な検査結果をもとに、患者さま一人ひとりに適した治療プランをご提案します。
お口の健康は時間とともに変化します。まずは現状を把握することから始めてみませんか?
無理な勧誘などは一切行いませんので、安心してご予約ください。

「骨が足りないからインプラントは難しい」――そう診断されたご経験はありませんか?
近年では、骨量が不足していてもインプラント治療を可能にする再生療法が進化しており、医療法人大杉歯科医院でもその技術を取り入れることで多くの患者さまに治療の選択肢を広げてきました。
三重県津市の審美インプラント治療専門外来の医療法人大杉歯科医院では、CT撮影による3D画像診断をもとに、骨の厚みや高さ、密度を立体的に把握。必要があれば、骨造成を取り入れたインプラント治療計画をご提案しています。
代表的な再生療法のひとつが「GBR(骨誘導再生法)」です。骨が不足した部位に自家骨や人工骨を補填し、特殊な膜(メンブレン)で覆うことで、骨の再生を促しインプラントの土台を築く方法です。
また、上顎奥歯など骨が特に薄い部位には「サイナスリフト(上顎洞底挙上術)」が適応されます。上顎洞と呼ばれる空洞の底を持ち上げ、その下に骨を造成することで、十分なインプラント埋入スペースを確保することが可能になります。
これらの高度な再生治療は、歯科用CTや精密シミュレーション技術、そして確かな経験を持つ術者による対応が前提となります。
医療法人大杉歯科医院では、難症例に多数対応してきた実績を活かし、「他では無理と言われた」ケースでもあきらめずに治療の可能性を模索しています。
「骨が足りない」と診断された方こそ、一度三重県津市の審美インプラント治療専門外来の医療法人大杉歯科医院でご相談いただきたい症例です。
治療の土台から再構築することで、インプラント治療の可能性が大きく広がります。
治療期間や身体への負担を軽くしたい方にとって、「抜歯即時埋入」は有力な選択肢のひとつです。
これは、虫歯や歯周病などで抜歯が必要になった際、その当日にインプラントを埋め込む方法です。従来であれば、抜歯後に歯ぐきや骨の治癒を数ヶ月待ったうえで次のステップへ進んでいましたが、この方法を用いることで、治療期間を短縮できるほか、手術の回数も抑えられます。
さらに、抜歯直後の歯ぐきの形を活かせるため、特に審美性が求められる前歯部では、自然な仕上がりが期待できるという利点もあります。歯がない期間を極力短くできるため、見た目や会話などに不安を抱える方にも安心してお選びいただけます。
ただし、抜歯即時埋入はすべての患者さまに適応できるわけではありません。
炎症の有無や骨の状態、歯ぐきの厚みや形など複数の条件を慎重に確認する必要があります。
医療法人大杉歯科医院では、CTや口腔内検査によって十分な診査を行い、適応可能と判断できた方にのみご提案しています。
「早く治療を終えたい」「通院回数を減らしたい」「歯がない期間を作りたくない」といったご希望に対し、身体にも心にも優しい選択肢としてご提案できるのが、この抜歯即時埋入です。
医療法人大杉歯科医院では、これまで他院で「治療が難しい」とされた症例にも真摯に向き合い、再生療法や即時埋入といった先進技術を用いて新たな選択肢をご提示してきました。
患者さまの「もう一度しっかり噛めるようになりたい」「笑顔に自信を持ちたい」といった想いに寄り添い、最適な治療方法を対話と診断を通して一緒に導き出す――それが、三重県津市の審美インプラント治療専門外来の医療法人大杉歯科医院の変わらぬ姿勢です。










インプラントは、単に「歯を補うため」の治療ではありません。
本当に大切なのは、「なぜその歯を失ったのか」という背景を明確にし、再発を防ぐための対策を講じることです。
日本人が歯を失う最も大きな理由は、虫歯ではなく歯周病です。歯周病は進行が緩やかなことも多く、気づいたときには骨が溶けてしまっていることも少なくありません。このように、歯を支える骨にダメージを与える疾患であり、インプラントの成功にも密接に関わっています。
そこで医療法人大杉歯科医院では、インプラントを希望されるすべての患者さまに対して、まず口腔内の状態を詳しく確認。
歯周病のリスク、骨の量や質、過去の治療歴などを診査し、「なぜその歯を失ったのか」を患者さまと一緒に共有することから治療をスタートします。
インプラントを入れることは、ゴールではなく“新たな始まり”です。
原因に向き合わなければ、せっかく埋入したインプラントも再び炎症を起こし、脱落するリスクがあります。
私たちは、歯周病ケア・咬み合わせの調整・生活習慣の見直しといった包括的なアプローチで再発を防ぐ治療体制を整えています。
「もう歯を失いたくない」という気持ちに、確かな根拠と診療体制で応えてまいります。
過去に歯周病を患ったことのある方、もしくは現在治療中の方がインプラントを検討する際には、「インプラント周囲炎」への注意が必要です。 インプラント周囲炎とは、インプラントの周囲に細菌感染が起こり、歯ぐきや骨に炎症が広がっていく疾患です。 放置すれば骨吸収が進行し、インプラント自体が抜け落ちてしまうこともあります。 歯周病と同様に、静かに進行しながら骨にダメージを与えるこの疾患は、歯周病歴のある方ほど発症リスクが高いとされています。 そのため医療法人大杉歯科医院では、以下のような対策を徹底しています:
特にリスクのある方には、治療前からしっかりと説明を行い、インプラントを長く保つための知識と意識を共有することを大切にしています。
「せっかく手に入れたインプラントを、再び失いたくない」
その想いを現実にするには、治療後の“見えない努力”が欠かせません。
歯周病は過去の原因であると同時に、未来に潜むリスクでもあります。
医療法人大杉歯科医院では、治療前から治療後まで一貫して歯周病に対応できる診療体制を整え、患者さまの口腔内の健康を長期的にサポートしています。
インプラントを本当の意味で「一生もの」にするために――
まずは、歯を失った背景をともに見つめ直すことから始めましょう。

長い間、歯のない状態が続くと、隣の歯が倒れてきたり、かみ合わせの歯(対合歯)が伸びてくる等、様々な悪影響があります。部分矯正によってそれらの歯をもとの正しい位置に戻し、インプラントを埋入するスペースをつくることが可能です。
歯を失った本数が多く噛むところが無い場合は、インプラント治療を先に行います。 インプラントの仮歯を装着し、噛み合わせが整ったら矯正治療を開始します。インプラントの埋入ポジションですが、事前に模型でシミュレーションを行い、矯正後の噛み合わせを反映した位置に埋入します。
多数の歯が欠損している場合でも、歯がない部分を矯正治療によってまとめることで、インプラントを埋入する本数を減らせる場合があります。
骨格的な不調和があると一部の歯に負担がかかります。例えば前歯の咬み合わせがきちんと噛んでいない場合、奥歯に負担がかかりやすいです。矯正治療によって噛み合わせをよくすることで、奥歯にインプラントを入れても負担がかからなくなり、長期安定させることが可能です。

歯を失ったとき、多くの方が最初に悩まれるのが「入れ歯にするか」「インプラントにするか」という選択です。
それぞれに利点と課題があり、どちらが合うかは人によって異なりますが、長く快適に噛めることや見た目の自然さを重視する方には、インプラントが有力な選択肢となります。
入れ歯は保険診療が可能で比較的コストを抑えやすく、手軽に始められる治療方法です。
しかし一方で、着脱の手間・異物感・噛む力の低下といった点がネックになることもあります。
特に総入れ歯では、話すときのズレや食事中の不安定さが気になるという声も少なくありません。
インプラントは、人工歯根をあごの骨に直接埋め込むため、天然歯に近いフィット感としっかり噛める安定性が魅力です。
硬い食べ物も快適に楽しむことができ、「まるで自分の歯のように使える」という安心感があります。
また、入れ歯は歯ぐきに圧力がかかるため、長期使用によって顎の骨が徐々に吸収されやすいという特性があります。
骨が痩せてしまうと合わなくなり、作り直しや調整が頻繁に必要になることもあります。
その点、インプラントは噛む刺激が骨に伝わるため、骨の維持にも貢献できるのが大きな特長です。
医療法人大杉歯科医院では、患者さまのライフスタイルやご希望を丁寧にうかがい、見た目・噛む力・長期的な予後を含めた多角的な視点から、最適な治療をご提案しています。

ブリッジは、歯を失った部分の両隣の歯を支えにして、橋を架けるように人工歯を固定する治療法です。
見た目の自然さや固定性の高さから、今も多くの方に選ばれています。
ただし、健康な歯を削らなければならないという点は大きなデメリットです。
一度削った歯は構造的に弱くなりやすく、将来的に虫歯や破折などによって再治療や抜歯が必要になるリスクを抱えることになります。
つまり、1本の欠損が、他の健康な歯にまで影響を及ぼしてしまう可能性があるのです。
また、ブリッジは失った歯の部分に直接力がかからないため、骨に刺激が加わらず、時間とともに骨が痩せてしまうという点にも注意が必要です。
見た目には整っていても、歯ぐきのへこみや人工歯の浮きが目立つようになることもあります。
インプラントであれば、隣の歯を削らず、1本単位で完結できるのが大きな利点です。
機能性・審美性・骨の保持という3つの要素をバランスよく満たし、“自分の歯として末永く使える”というのがインプラントの魅力です。
もちろん、患者さまの状態やご希望によっては、ブリッジが最適な選択となる場合もあります。
医療法人大杉歯科医院では、CT撮影や咬み合わせの診査を通じて、無理なく納得できる治療法を一緒に考え、決してインプラント一択で進めるようなご提案はいたしません。
「入れ歯か、ブリッジか、それともインプラントか——」
治療法にはそれぞれ異なる特長と向き・不向きがあります。
私たちは、その違いをわかりやすく丁寧にお伝えし、患者さま自身が納得して選べる診療を大切にしています。
「どの治療法が自分に合っているのか分からない」
そう感じたときは、ぜひお気軽にご相談ください。
あなたにとっての“最適な一手”を、一緒に見つけていきましょう。


総入れ歯をしている
ほとんど歯を失っている
歯周病で多くの歯がグラグラ
むし歯で多くの歯がボロボロ
固定された歯を早く入れたい
バランスの良い綺麗な歯にしたい
メリット
デメリット





インプラントの頭に自生金属をつけ、入れ歯側に埋め込んだ磁石の力によって留めます。

インプラントに、ロケーターという器具(側面に溝のついた金具)をつけ、入れ歯側の留め具をパチッとはめ込んで使います。
メリット
デメリット
「他院で抜歯しかない」と言われても、諦めてはいけません。
通常のインプラント治療では、一次手術でインプラントを埋入し、二次手術で歯肉が治癒してから型採りをし、被せ物を装着するという流れでトータルの治療期間は下顎であれば5~6ヶ月、上顎で8~9ヶ月かかります。しかし、『抜歯即時埋入インプラント』での治療期間は、3~4ケ月程度でインプラントが可能です。


メリット

ヒアリングとカウンセリングから始めます。 その上で、インプラントを植立する位置、深さ、角度までを綿密に検討し診査、診断を行います。その際、大体の費用や期間をお伝えします。

抜歯して即座にインプラントを埋入します。その際、感染が起きないよう抜歯窩内の清掃を十分に行います。

抜歯後、骨移植・メンブレンの設置を行い、骨吸収を最小限にする処置のことを抜歯窩保存術と言います。これにより最大限の骨量を確保し、インプラント手術をスムーズに行うことが可能となります。

一定期間を経過するとインプラント周辺は新しい骨で囲まれ、歯肉も治癒していきます。それを確認し、最終補綴物の作成に取り掛かります。当院ではジルコニアやセラミックを上部構造を作成しています。
インプラント自体はチタンからできているため、インプラントそのものが腐食を起こしたり、破折したりすることは非常に稀です。一方で、インプラントが清掃不良になると支えている周りの歯ぐきや骨が炎症を起こし、インプラント周囲の粘膜が腫れたり、進行すると骨が溶けてしまうことがあります。
これをインプラント周囲疾患と呼び、その進行の程度によりインプラント周囲粘膜炎とインプラント周囲炎の2つに大別されます。




インプラント周囲粘膜炎とインプラント周囲炎を発症・進行に導く可能性のあるリスクファクター
2013年AAPより
インプラントは、人工歯根を顎の骨に埋め込むことで、天然歯に近い噛み心地と安定性を得られる治療法です。
しかし、インプラントは「治療が終われば完了」ではありません。むしろ、治療後からが“本当のスタート”です。
インプラントには歯根膜が存在しないため、細菌の侵入に対して天然歯よりも抵抗力が弱くなります。
特に注意が必要なのが「インプラント周囲炎」です。これは歯ぐきや骨に炎症が広がる疾患で、進行するとインプラントの脱落にもつながる重大なトラブルです。
そのため医療法人大杉歯科医院では、治療が完了した方に対して、3~6ヶ月に1回の定期検診と専門的なメンテナンスを強くおすすめしています。
定期検診では、以下のようなチェックと処置を実施しています:
また、喫煙・糖尿病・噛みしめなどのリスク因子に応じたメンテナンス計画を個別に設計し、インプラントを長く健康に保つための仕組みを整えています。
私たちは、治療後も「安心して通い続けられる環境」を大切にし、継続的なサポート体制を構築しています。
インプラントを長期的に機能させるためには、日々の生活習慣にも配慮が必要です。
以下のようなポイントを意識することで、インプラントの寿命を大きく伸ばすことができます。
インプラントの周囲にもプラーク(歯垢)は溜まります。天然歯と同様に、歯ブラシ・デンタルフロス・歯間ブラシなどを併用した丁寧な清掃が不可欠です。歯ぎしりや食いしばりがある方には、ナイトガード(就寝時マウスピース)の使用を提案しています。
喫煙はインプラント周囲炎のリスク因子の一つであり、治癒の妨げにもなります。
禁煙が望ましいですが、難しい場合には定期的なケアの強化と医師との連携で対応します。
氷・硬い煎餅・骨付き肉など、強い咀嚼力を必要とする食品の頻繁な摂取は控えることをおすすめします。
また、糖分が多い食事は歯ぐきに悪影響を及ぼす可能性があるため、バランスの取れた食習慣を心がけましょう。
糖尿病・高血圧・骨粗鬆症などの持病がある場合、インプラントの安定性にも影響が及ぶことがあります。
三重県津市の審美インプラント治療専門外来の医療法人大杉歯科医院では、主治医との情報共有を行いながら、内科的疾患をお持ちの方にも安全なインプラント維持管理を行っています。
インプラントを「治療して終わり」にしないためには、治療後のケアと生活習慣の見直しが非常に重要です。
医療法人大杉歯科医院では、治療からメンテナンス、その先の予防まで、生涯を見据えたインプラント管理体制を整えています。
“ずっと快適に使い続けたい”という想いに、私たちは最後まで寄り添い続けます。
インプラント治療は健康保険の適用外となる自由診療であり、治療費用は数十万円~100万円を超えるケースも珍しくありません。
そのため、金額だけを見ると「高い」と感じられるかもしれませんが、重要なのは“その中身に納得できるか”という点です。
医療法人大杉歯科医院では、以下すべての項目を含めた明瞭な料金設計を行い、事前にしっかりとご説明いたします:
| 処置 | 種類 | 料金 |
|---|---|---|
| インプラント | インプラント埋入(1st stage) | ¥150,000〜200,000 |
| 頭出し(2nd stage) | ¥50,000 | |
| 仮歯(テンポラリーシリンダー+シェルテック) | *ファイナルの費用に含める | |
| ステント | ¥10,000 | |
| サージカルガイド | ¥100,000 | |
| インプラント上部(ジルコニア築盛) | ¥150,000 | |
| インプラント上部(ジルコニアステイン) | ¥150,000 | |
| サイナスリフト | ー | ¥100,000〜300,000 |
費用に見合った安心と結果を提供するために、医療法人大杉歯科医院では“見えない部分のサポート”にも徹底してこだわりを持っています。
10年、20年先も変わらず快適に噛める未来のために――
「信頼できる治療」と「納得できる費用」、そして「安心できる保証」を、すべて揃えた環境でお迎えします。
インプラント治療をご検討の際は、どうぞお気軽にご相談ください。
大杉歯科医院では、歯を失った方を対象に、無料のインプラントカウンセリングを実施しています。
「歯がない状態をそのままにしている」「他院で治療を断られた」など、どんなお悩みにも真摯に向き合い、今後の選択肢をご提示いたします。
ご相談を担当するのは、インプラント症例の豊富な歯科医師です。歯科用CTをはじめとした精密な検査結果をもとに、患者さま一人ひとりに適した治療プランをご提案します。
お口の健康は時間とともに変化します。まずは現状を把握することから始めてみませんか?
無理な勧誘などは一切行いませんので、安心してご予約ください。