重度歯周病で
「 本気で歯を残したい 」
あなたへ
精密な検査と再発を見据えた歯周病治療に
こだわっているから。
医療法人大杉歯科医院の歯周病治療は、
できる限り歯を残すことに向き合います。
- 他院で抜歯と
言われた
歯周病・重度歯周病
にも対応 - 歯周病検査と
写真で
治療内容を
わかりやすく - 国内外で培った
先進の歯周病
重度歯周病治療
当院の想い Concept
三重県津市の医療法人大杉歯科医院
─ 歯を残す歯周病・
重度歯周病治療への想い ─
「もう抜くしかないと言われた」
「グラグラして噛むのが怖い」
「この先、自分の歯がどうなるのか不安」
そんなお気持ちで来院される方に、私たちは表面的な治療だけを行うことはしません。
歯を長く守るためには、⻭ぐきや骨など“歯の外側”に対する歯周病治療と、神経や根など歯の内側に対する根管治療の両方を見極め、必要に応じて同時に整えていくことが大切だと考えています。
そのために三重県津市の医療法人大杉歯科医院では、歯科用CTやマイクロスコープを活用し、重度歯周病や複雑な症例にも対応できる診療体制を整えております。歯やインプラント周囲に必要な骨・歯肉を再生・獲得する治療にも取り組み、難しい症例に対しても噛める可能性をあきらめません。
三重県津市の医療法人大杉歯科医院のゴールは、ただ歯周病・重度歯周病を治すことではなく、その先にある「安心して噛める毎日」と「自信を持って笑える口元」を取り戻していただくことです。
三重県津市の医療法人大杉歯科医院は、あなたの歯と⼝元の未来を一緒に考え、最後まで伴走するパートナーでありたいと願っています。
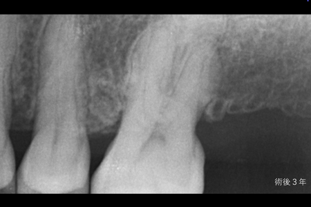
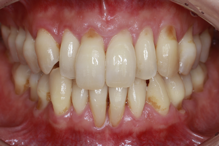
症例 Case
-
歯間の「黒い隙間」を修復|
40代 女性
歯間乳頭再建による審美性と機能性の回復

治療名 【重度歯周病】歯周組織再生療法による機能回復 治療期間 約1年(初期治療・経過観察期間含む) 執刀医 Dr. 大杉 治療費 250,000円(税込) 治療解説 一般的に抜歯適応と診断されやすい状態でしたが、歯の保存を優先して歯周組織再生療法を行いました。
事前にプラークコントロールと歯石除去を徹底し、炎症を安定させたうえで外科処置を実施。
結果として抜歯を回避し、長期的な機能維持を目指せる状態へ改善しました。リスク・副作用 術後に一時的な腫れや痛みが生じることがあります(鎮痛剤等の処方で管理を行います)。
また、喫煙等の生活習慣によっては治癒不全のリスクが高まる場合があります。 -
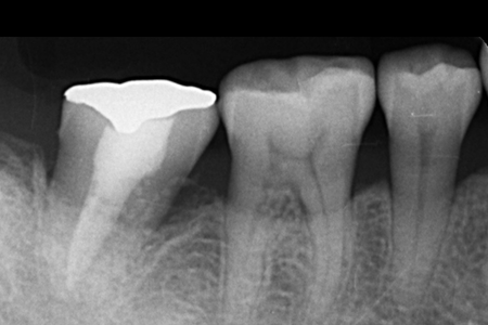
複合的な感染源を断つ|
50代 女性
マイクロスコープ精密根管治療と再生療法の併用症例

治療名 【歯周・歯内複合病変】組織再生療法+精密根管治療 治療期間 約1年 執刀医 Dr. 大杉 治療費 420,000円(税込)
■内訳:
再生療法 250,000円
根管治療 130,000円
支台築造 40,000円治療解説 歯の内部と歯周組織の両方に感染が及んでおり、抜歯判断になりやすいケースに対して保存を前提に治療を行いました。
まず精密根管治療で感染源を除去・封鎖し、その後に歯周組織再生療法を実施。
内外の感染を段階的にコントロールすることで、抜歯回避と安定化を目指しました。リスク・副作用 神経(歯髄)を除去するため、歯への栄養供給が断たれ、健全歯に比べて強度が低下します。
硬いものを噛んだ際などに歯根破折のリスクが伴う。 -
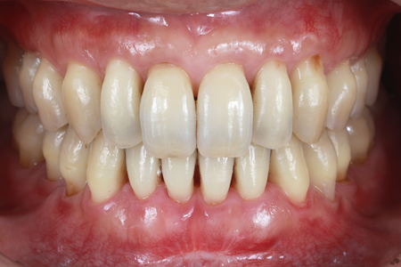
下がった歯茎を美しく、強く再生|
30代 男性
矯正治療と根面被覆術による口腔環境の改善

治療名 【審美・機能回復】歯肉退縮に対する根面被覆術+マウスピース矯正 治療期間 約1年 執刀医 Dr. 大杉 治療費 1,150,000円(税込)
■内訳:
矯正治療 900,000円
オペ費用 250,000円治療解説 歯肉退縮の改善と、将来的に歯を失うリスクを下げる目的で治療を行いました。
まずマウスピース矯正で歯列と噛み合わせを整えたうえで、結合組織移植による根面被覆を実施。
見た目だけでなく、歯を長く残すための安定性も重視して回復を図りました。リスク・副作用 歯の移動時に数日程度の違和感や疼痛が生じることがあります。
術後の過度なブラッシング圧や不適切な清掃用具の使用は、再度の歯肉退縮(再発)を招く主原因となるため、適切なケア指導の遵守が必要です。 -
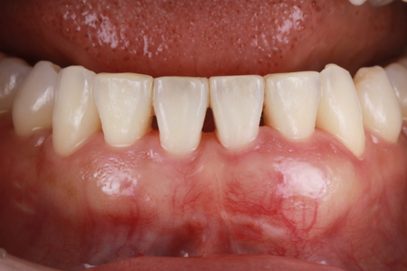
歯間の「黒い隙間」を修復|
40代 女性
歯間乳頭再建による審美性と機能性の回復

治療名 【高度審美形成】歯間乳頭再建術 治療期間 約1年 執刀医 Dr. 大杉 治療費 300,000円(税込) 治療解説 ブラックトライアングルに対し、歯を削ったり抜いたりせずに形態改善を目指して歯間乳頭再建術を行いました。
上顎口蓋から採取した結合組織を歯間部へ移植し、マイクロスコープ下で精密に縫合。
審美面の改善に加え、食渣(食べかす)が詰まりにくい状態の回復を目指しました。リスク・副作用 移植組織の定着後も、メンテナンスが予後を大きく左右します。
特に歯間ブラシの不適切な使用や過度なブラッシング圧は組織の退縮を招くため、術後は当院の指導に基づいた厳密なプラークコントロールが必要です。
院長紹介 Doctor
日々研鑽を続けております
私はこれまで、インプラント・重度歯周病の治療・精密根管治療・審美歯科を専門とする歯科医院にて、多くの患者さまの診察にたずさわらせて頂きました。そしてこの度、長年培ってきた技術をより多くの患者さまにご提供したいと考え、設備を一新・医院規模を拡大するため、医療法人大杉歯科医院をリニューアルオープンいたしました。
当院では、「チーム医療・チームアプローチ」を重視しており、様々な専門分野(歯周病治療、インプラント治療、根管治療、審美歯科治療、矯正治療、歯科麻酔)のトレーニングを積んだ歯科医師に加え、歯科衛生士、歯科技工士、スタッフが連携しながら、患者様のお口のケアに取り組んでおります。
技術力の高い医院と自負しておりますので、他院対応できず悩まれているなら、是非当院へご相談ください。
活動報告
- 2026.02.11
- 2026年OJミッドウィンターミーティングにて院長の大杉が優勝いたしました。
- 2025.03.31
- ザ・クインテッセンス/2025年2月号の特集記事を院長の大杉が執筆いたしました。
- 2023.10.22
- 第9回 日本国際歯科大会 の演者に院長の大杉が選出されました。
- 2023.08.14
- ストローマン・ジャパン主催の Young ITI Implant School OSAKA でGBR(骨増生)の講師を担当いたしました。
- 2023.07.24
- イタリアのフィレンツェにて Dr.Pierpaolo Cortellini の最先端の歯周病治療(歯周組織再生療法)コースを受講いたしました。
略歴
- 2015年3月 愛知学院大学卒業
- 2015年4月 医療法人社団石川歯科 勤務
- 2021年12月 医療法人大杉歯科医院 院長就任
所属学会
- 5D-Japan(リンク先:https://www.5-djapan.com/)
- OJ(Osseointegration study club of Japan)会員
- 日本臨床歯周病学会 会員
- 日本口腔インプラント学会 会員
- 日本顕微鏡学会 会員
- 静岡県口腔インプラント研究会 会員
- SPIS(Shizuoka Perio implant Study)会員
- はまゆう会 会員
資格等
歯周病や重度歯周病の知識と経験を持つ歯科医師による無料相談
三重県津市の大杉歯科医院では、歯周病や重度歯周病の方に関する無料相談を行っています。歯周病を放置すると炎症が広がり、歯ぐきや骨が失われ、治療の選択肢が限られてしまいます。できるだけ早い段階での受診をおすすめしています。
豊富な症例実績をもつ院長が、歯科用CT・歯周病検査による精密診査の結果をもとに、
一人ひとりに最適な治療計画をご提案いたします。
歯を残したい方、重度歯周病でお悩みの方も、まずはお気軽にご相談ください。
当院の歯周病
重度歯周病治療の特徴 Features
-
01残せるかどうかを正確に診断
お口の中の様子を記録するためにデジタル写真を撮影します。拡大して見ることが可能なため、補綴物の適合性のチェック・虫歯のチェックなどに用います。
また、根本的な治療のために、主訴部位だけでなく口腔内全体の状態を把握する必要があります。そのために当院では口腔内全体のデジタルレントゲン撮影を行います。 -
02原因を徹底的に除去
原因除去療法には患者さまが行うものと医療者サイドが行うものが あります。まず、患者さまは、ブラッシング技術を向上させ、それを習慣化することが大切です。そして医療者サイドが行う原因除去療法とは、患者さまが歯を磨きやすい状態に整えることです。そのためには“被せる”、“詰める”などの精度を高めること。より天然歯に近い形体を実現することにより、磨きやすい状態が整えられます。また、治療により歯周ポケットをなくしたり、歯磨きに負けない強い歯肉をつくることも大切です。
-
03マイクロスコープを用いた
精密な治療マイクロスコープという歯科用顕微鏡を用いて精密な治療を行うことが可能です。マイクロスコープを利用すると手元が20倍〜に拡大され肉眼では判断できない削るべき箇所、残すべき箇所を正確に判断可能です。
-
04歯周組織再生療法は
他院で出来ないことも可能当院ではインプラントを支える骨や歯を支える組織の再生療法に積極的に取り組み、多くの症例を発表するなどして研鑽を積んできました。他院でインプラント治療や歯周病の進行した歯の保存が困難と言われた方も、ぜひ当院でご相談ください。
抜歯と言われても残せる可能性があります
「他院で断られても諦めないでください」

他院で断られても諦めないでください
昨今では重度歯周病に対する治療の研究が進み、現在では歯周病により溶けた歯槽骨の再生が可能となっています。根の先端を超えるような骨吸収が起きていたとしても残すことができるとの報告もあります。
当院には、保存不可と診断された歯を保存してきた多数の実績があります。
難易度の高い治療ではありますが、歯科用CTによる正確な診断、マイクロスコープを用いた精密な治療により可能となります。
治療技術紹介 Technology
従来の歯周病治療とは異なり、組織が歯根面に到達することをメンブレン(人工膜)で防ぐことにより、歯根膜をもととした組織/細胞の新生を伴う結合組織性付着を形成できるようにする方法です。
歯周病によって歯を支える歯槽骨が溶けてしまっている場合などに、メンブレン(人工膜)を挿入しておくことで歯ぐきの侵入を防ぎつつ歯周組織の再生するスペースを確保できます。

エムドゲインゲルの主成分は、「エナメルマトリックスデリバティブ」と呼ばれる豚の歯胚組織からつくられたタンパク質の一種です。世界各国で使用されており、2002年に厚生労働省から認可を受けた安全な生体材料です。

費用
| 処置 | 種類 | 料金 |
|---|---|---|
| 歯周病治療 | 歯周組織再生療法 | 1本100,000〜範囲による |
※デンタルローンも使用可能です。
※価格はすべて税抜です。
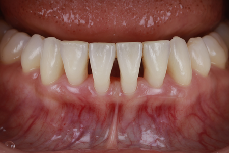
Treatment selection歯ぐきが下がってしまった方へ
—— 根面被覆という治療選択
重度の歯周病では炎症を取り除いた後でも、歯ぐきが大きく後退した状態だけが残ってしまうことがあります。
歯ぐきの退縮は見た目の変化だけでなく、知覚過敏の悪化や歯根むし歯のリスク上昇、歯の動揺など、将来的なトラブルへ直結する重要なサインです。
医療法人大杉歯科医院では、歯周病治療で炎症を改善した後も、お口の機能を長く維持するために、歯ぐきを補強し歯根を守る「根面被覆(歯肉移植)」にも対応しています。
歯ぐきが下がると“見た目”だけでなく“健康面”にも影響します
歯ぐきが下がることで歯根が露出し、次のような症状が現れやすくなります。
- 冷たいものがしみやすくなる(知覚過敏)
- 歯みがきの刺激で痛みを感じる
- 歯が長く見える/すき間が気になる
- 歯根むし歯が起こりやすくなる
- 歯ぐきの退縮が徐々に進む
- プラークが溜まりやすく、歯周病が再発しやすい
一度下がった歯ぐきは自然に元へ戻ることはありません。
そのため、露出した歯根を守り、今後のトラブルを防ぐためには、歯ぐきを補う治療が必要になります。
機能面の回復はもちろん、自然で美しい歯ぐきのラインを取り戻すことも重視し、症例に応じて根面被覆をご提案しています。
CTG・FGGによる歯肉移植で健康的な歯ぐきを再構築
根面被覆とは、歯周形成外科の一つで、後退した歯ぐきを回復させるための専門的な治療です。
薄く弱くなった歯ぐきを補強し、露出した歯根を再び覆うことで、審美性と機能性の両方を改善します。
-
CTG(結合組織移植術)
上あごの内側から「結合組織」を採取し、退縮した部分に移植する方法です。
歯ぐきに自然な厚みが生まれ、特に審美性が求められる前歯の治療に適しています。 -
FGG(遊離歯肉移植術)
歯ぐきが極端に薄い、または強度が不足している場合に行う治療です。
歯肉を移植して丈夫な歯ぐきの土台を作り、長期的に歯を守るための環境を整えます。
歯ぐきが下がることで歯根が露出し、次のような症状が現れやすくなります。
- 知覚過敏の軽減
- 歯ぐきが整い“歯が長く見える”症状の改善
- 歯根むし歯の予防
- ブラッシングしやすく衛生的な口腔環境の形成
- 歯周病の再発防止と長期的な予後の安定
三重県津市の医療法人大杉歯科医院では、CT撮影やマイクロスコープを活用した精密診断のもと、できるだけ侵襲を抑えながら、自然で美しい歯ぐきの回復を目指した治療を行っています。
歯周病とは?静かに進む“サイレントディズィーズ” Silent Disease
痛みがないまま進行する怖い病気
歯周病とは、歯を支える「歯ぐき」や「歯槽骨(しそうこつ)」といった土台の組織が、細菌によって徐々に破壊されていく病気です。
原因となるのは、歯と歯ぐきの境目に付着する「歯垢(プラーク)」という細菌の塊。歯垢の中には、わずか1mgに約10億個もの細菌が潜んでおり、その中に含まれる「歯周病菌」が毒素を放出して歯ぐきに炎症を引き起こします。炎症は時間の経過とともに歯ぐきの奥へ広がり、最終的には歯を支える骨まで溶かしてしまいます。
初期の段階ではほとんど痛みがないため、気づかないうちに病状が進行していくのが特徴です。このため、歯周病は“サイレントディズィーズ(静かな病気)”と呼ばれています。
歯ぐきの赤みや腫れ、歯みがき時の出血といった軽い症状を放置していると、歯がぐらついたり、やがて抜け落ちてしまうこともあります。むし歯がなくても歯を失う原因の多くを占めているのが、この歯周病です。
近年では、歯周病が「お口の中だけの問題ではない」ことも分かってきました。
歯ぐきの炎症によって生じた毒素や炎症物質は血流に乗って全身を巡り、糖尿病、心筋梗塞、脳梗塞、誤嚥性肺炎、認知症、早産など、さまざまな全身疾患と深く関係していることが多くの研究で明らかになっています。
つまり、歯周病の治療は“お口の健康を取り戻すだけでなく、身体全体の健康を守る医療”でもあるのです。
30代から要注意。成人の約8割が発症
歯周病は年齢を重ねるごとに発症リスクが高まる病気です。
厚生労働省の調査によると、30代の約6割、40代以降では実に8割以上の方に、何らかの歯周病の兆候が見られると報告されています。
「歯ぐきからの出血」「腫れ」「口臭」「歯が長く見える」といったサインがある方は、すでに初期~中等度の歯周病が進行している可能性があります。
また、歯周病の進行を早める要因にはいくつかの生活習慣が関係しています。
喫煙、ストレス、不規則な生活、歯ぎしり、糖尿病などが代表的なリスク要因です。
特に喫煙は、歯ぐきの血流を悪化させて免疫力を下げ、治療の効果を低下させる大きなリスクファクター。さらに、女性では妊娠・出産・更年期といったホルモンバランスの変化が歯ぐきを炎症しやすくすることもあります。
歯周病は、症状が出にくく静かに進行する“沈黙の病気”です。
そのため、「痛くないから大丈夫」と放置してしまうことが最も危険。早期に発見し、早期に治療を始めることが、歯を守るための何よりの近道です。
医療法人大杉歯科医院では、歯ぐきの状態はもちろん、生活背景やリスク要因も含めた総合的な診断を行い、軽度から重度まで症状に合わせた最適な治療を提案しています。
「もしかして…」と感じた段階で受診することが、あなたの歯を守る第一歩です。
静かに進む歯周病だからこそ、早めの行動が“自分の歯で食べ続けられる未来”につながります。
Difference歯肉炎・歯周炎の違いを知る
歯肉炎:歯ぐきの腫れ・出血の初期サイン
歯周病のはじまりは、歯ぐきに炎症が起こる「歯肉炎」から始まります。
歯と歯ぐきの境目に付着した歯垢(プラーク)の中には、無数の細菌が存在しています。これらの細菌が出す毒素によって歯ぐきが炎症を起こし、赤く腫れたり、歯みがきの際に出血したりするのが歯肉炎の特徴です。
この段階ではまだ、歯を支える骨(歯槽骨)までダメージは及んでおらず、炎症は歯ぐきの表面にとどまっています。
歯肉炎は痛みを感じにくいため、症状に気づいても「そのうち治るだろう」と放置されやすい病気です。
しかし、出血は体が発している“異常のサイン”であり、放っておくと細菌が歯ぐきの内部へ侵入し、炎症が歯を支える組織(歯周組織)へと広がってしまいます。
正しいブラッシングと、歯科医院でのプロフェッショナルクリーニング(スケーリング)を行えば、歯肉炎は十分に改善が可能です。
ただし、自己流のケアでは歯ぐきの内側に付着した歯垢や歯石を完全に取り除くことは難しく、再発を繰り返すこともあります。
特に女性はホルモンバランスの影響で歯ぐきが腫れやすくなり、「女性ホルモン性歯肉炎」を引き起こすことがあります。思春期・妊娠中・更年期など、ライフステージごとの変化にも注意が必要です。
早期の歯肉炎であれば、専門的なクリーニングとブラッシング指導によって、健康的な歯ぐきを取り戻すことができます。
歯周炎:骨が溶けはじめる中~重度段階
歯肉炎を放置すると、炎症はさらに深い部分――歯を支える組織(歯周組織)へと広がり、「歯周炎」へと進行します。
この段階になると、歯を支える骨(歯槽骨)が細菌によって徐々に破壊され始め、歯のぐらつき、噛むと痛い、膿の排出、口臭の悪化など、目に見える症状が現れます。
初期の歯周炎では、歯と歯ぐきの間に「歯周ポケット」という深いすき間が形成されます。
このポケット内は酸素が少なく、歯周病菌にとって繁殖しやすい環境。細菌が増え続けることで炎症が慢性化し、やがて歯を支える骨を溶かしていきます。中等度に進行すると、歯を押すと動く・噛むと痛い・膿がにじむといった症状が現れ、日常生活にも支障をきたすようになります。
さらに悪化すると、歯槽骨の半分以上が失われる「重度歯周炎」に移行します。
支えを失った歯は大きく動揺し、最終的に自然に抜け落ちるケースもあります。この段階では、失った骨を再生するための歯周組織再生療法など、外科的な治療が必要になることもあります。
また、歯周炎はお口の中だけで完結する病気ではありません。
歯ぐきで発生した炎症性物質が血管を通じて全身を巡ることで、糖尿病の悪化、動脈硬化、脳梗塞、誤嚥性肺炎などのリスクを高めることが報告されています。つまり、歯周病の治療は全身の健康を守る医療でもあるのです。
そのうえで、スケーリング・ルートプレーニング・歯周外科・再生療法などを症状に応じて組み合わせ、歯を残すことを最優先に治療を進めます。
歯周炎は自然に治ることはなく、放置すれば確実に進行していく病気です。
「歯ぐきの出血」「口臭」「歯のぐらつき」など、少しでも異変を感じたら早めの受診を。
早期の対応こそが、あなたの大切な歯を守る最善の方法です。
Cause歯周病・重度歯周病が進行する原因
細菌の塊「プラーク」と「歯石」が
発症のきっかけ
歯周病の発症には、まず「プラーク(歯垢)」と呼ばれる細菌の塊が深く関係しています。
プラークは食べかすの汚れではなく、わずか1mgの中に約10億個もの細菌が存在するといわれる“生きた細菌の集合体”です。これらの細菌が出す毒素が歯ぐきや骨に炎症を引き起こし、歯を支える土台を少しずつ壊していきます。
プラークを放置すると、唾液中のカルシウムやリン酸と結びついて「歯石」へと変化します。
歯石は非常に硬く、歯の表面がザラザラしているため、新たなプラークが付きやすい状態をつくり出します。
さらに、歯石は歯ブラシでは除去できず、歯科医院で専用の器具を使ったスケーリング(歯石除去)が必要になります。
こうしてプラークと歯石が歯と歯ぐきの境目に蓄積すると、細菌が酸素の少ない環境(歯周ポケット)で繁殖し、炎症を悪化させていきます。初期には「歯ぐきからの出血」程度の軽い症状でも、放置すると膿が出たり、歯がぐらついたりと進行し、やがて重度歯周病へと移行してしまうのです。
歯周病は細菌感染症であると同時に、日々の生活習慣が影響する生活習慣病の一種でもあります。
つまり、毎日のケアの精度や生活環境の違いが、病気の進行を大きく左右するのです。
喫煙・糖尿病・歯ぎしり・ストレスも
リスクを高める
歯周病を悪化させるのは、細菌だけではありません。
私たちの体の免疫力や生活習慣も深く関係しており、
以下のような要因が歯周病を進行させるリスクを高めます。
喫煙
タバコに含まれるニコチンは血管を収縮させ、歯ぐきの血流を悪化させます。これにより免疫細胞が細菌と戦いにくくなり、炎症が治りにくくなります。さらに、喫煙者の歯ぐきは出血しにくいため、見た目には“健康そう”に見えて気づきにくいのも特徴です。
糖尿病
血糖コントロールが不十分な状態では免疫力が低下し、細菌感染に対する抵抗力が弱まります。糖尿病の方は歯周病にかかるリスクが約2倍に高まるとされ、反対に歯周病があると炎症性物質によって血糖値が上昇し、糖尿病を悪化させることもあります。
このように歯周病と糖尿病は、互いに影響し合う密接な関係にあります。
歯ぎしり・食いしばり
強い力で歯を噛みしめる習慣は、歯を支える骨に過度な負担をかけ、炎症を起こしている部分を一気に悪化させる原因になります。特に就寝中の歯ぎしりは自覚が難しいため、マウスピースによる保護やかみ合わせの調整が有効です。
ストレス・睡眠不足
精神的ストレスや睡眠不足も、歯周病を進行させる見逃されがちな要因です。
ストレスが続くと免疫機能が低下し、唾液の分泌量が減って口腔内が乾燥。これにより細菌が増えやすくなり、炎症が悪化しやすい環境になります。
医療法人大杉歯科医院では、こうした全身状態や生活習慣まで含めた“原因の見極め”を大切にしています。
単に歯石を取るだけではなく、再発を防ぐためのブラッシング指導や、食生活・喫煙・ストレスなどの生活リズム改善まで、患者様一人ひとりに合わせた包括的なサポートを行っています。
歯周病は、細菌だけでなく「日常の小さな習慣」からも生まれる病気です。
毎日のセルフケアと、歯科医院での定期的なプロケアを組み合わせることで、歯を失わない未来を守ることができます。
Step歯周病・重度歯周病の進行ステップ
健康な歯ぐき → 歯肉炎 → 軽度歯周炎
→ 中等度 → 重度へ
-

歯肉炎
-

軽度(歯肉炎〜軽度歯肉炎)
-

中等度(中等度歯周炎)
-

重度(重度歯周炎)
歯周病は、ある日突然悪化する病気ではありません。
健康な状態から少しずつ炎症が広がり、時間をかけて歯を支える骨や歯ぐきを蝕んでいく“慢性的な進行性疾患”です。初期段階では痛みがほとんどないため、気づかないうちに進行してしまうことが多く、「もっと早く治療しておけばよかった」と後悔する患者さんも少なくありません。
健康な歯ぐきは、薄いピンク色で引き締まり、ブラッシングしても出血しません。
しかし、歯と歯ぐきの境目にプラーク(歯垢)が蓄積し始めると、最初に「歯肉炎」が起こります。歯ぐきが赤く腫れ、歯みがき時に出血するなどの症状が見られるようになります。この段階であれば、正しい歯みがきと歯科医院でのクリーニングにより、健康な歯ぐきに戻すことが可能です。
放置すると、炎症は歯ぐきの奥深くに広がり、「軽度歯周炎」へ進行します。
歯を支える骨(歯槽骨)が少しずつ溶け始め、歯と歯ぐきの間に「歯周ポケット」と呼ばれるすき間ができるのが特徴です。このポケット内は酸素が少なく、歯周病菌が繁殖しやすい環境のため、炎症がさらに進行していきます。
「中等度歯周炎」になると、歯槽骨の破壊が進行し、歯のぐらつきが現れ始めます。噛むと痛い、膿が出る、口臭が強くなる、歯ぐきが下がって歯が長く見える――といった症状が増えていきます。この段階では通常のクリーニングでは改善が難しく、「歯周外科治療」などの外科的なアプローチが必要になるケースもあります。
そして「重度歯周炎」に進行すると、歯槽骨の大部分が溶け、歯が支えを失ってグラグラの状態に。
歯ぐきから膿が出たり、強い口臭を伴ったりすることも多く、最終的には歯が自然に抜け落ちてしまうこともあります。ここまで進行すると、失われた骨や歯周組織を再生させる「歯周組織再生療法」など、より高度な治療が必要となります。
歯を支える骨(歯槽骨)が溶け、
最終的に歯が抜け落ちる
歯をしっかりと支えているのは、目に見えない部分にある「歯槽骨」という骨です。
歯周病が進行すると、歯周病菌が放出する毒素や炎症性物質がこの骨にまで影響を与え、少しずつ吸収・破壊していきます。骨が減少するにつれて歯の根が露出し、支えを失った歯は動きやすくなります。患者さんの中には「歯が浮いたような感じがする」「前歯のすき間が広がってきた」といった変化を感じる方も少なくありません。
歯槽骨が溶けていくスピードには個人差がありますが、数年単位で進行することが多いです。
放置すれば、炎症がさらに広がり、最終的に歯が自然に抜け落ちてしまうこともあります。実際、日本人が歯を失う原因の第1位はむし歯ではなく歯周病です。
しかし、重度に進行した場合でも「もう抜くしかない」とは限りません。
医療法人大杉歯科医院では、マイクロスコープや歯科用CTを用いた精密な診断により、歯周病の進行状態を正確に把握します。
そのうえで、歯周組織再生療法やフラップ手術などの先進的治療を行い、可能な限り歯を残すことを目指します。治療後も定期的なメインテナンスを行い、再発を防ぐことで長期的に健康な状態を維持できるようサポートしています。
自覚症状が出たときにはすでに進行しているケースも多いため、「痛みがない=健康」とは限りません。
定期的な検診で早期に異変を見つけ、治療と予防を続けることが、将来の自分の歯を守る最も確実な方法です。
あなたの歯を守るカギは、早期発見・早期治療・そして継続的な予防。
歯周病は適切な対応をすれば進行を止めることができ、健康な口腔環境を取り戻すことも十分に可能です。
Sign重度歯周病のサイン
歯がぐらつく・噛むと痛い・膿が出る・口臭が強くなる
重度の歯周病に進行すると、歯を支えている「歯槽骨(しそうこつ)」が大きく失われ、歯そのものが動くようになります。
食事の際に噛むとズキッと痛む、歯ぐきから膿がにじむ、強い口臭がする──これらはすべて、炎症が深部まで進行している危険なサインです。
-
歯が
ぐらつく。歯がぐらつくのは、歯の支えである骨が溶けてしまった証拠です。
支えが弱くなることで、噛むたびに歯が揺れ、その揺れがさらに周囲の歯ぐきや骨を傷つけ、炎症を悪化させます。
この状態を放置すると、歯ぐきの奥で膿が溜まる「歯周ポケット膿瘍(のうよう)」が形成され、慢性的な感染源となってしまいます -
口臭が
強くなるまた、重度歯周病の代表的な症状のひとつが強い口臭(歯周病性口臭)です。
その原因は、歯周ポケット内で歯周病菌が発生させる「揮発性硫黄化合物(VSC)」というガス状の物質。
このにおいは本人よりも周囲の人の方が気づきやすく、社会生活に支障をきたすこともあります。 -
噛むと痛い
膿が出る「歯が浮いた感じがする」「噛むと痛む」「歯ぐきから膿が出る」といった症状がある場合、すでに重度歯周病が進行している可能性があります。
医療法人大杉歯科医院では、歯科用CTやマイクロスコープを活用して歯槽骨や歯根の状態を精密に診断。
見た目では分からない部分まで確認したうえで、歯をできる限り残すための治療を行っています。
重度であっても「抜くしかない」と諦める必要はありません。適切な診断と早期の治療介入によって、歯を残せる可能性は十分にあります。
今感じている違和感こそ、歯を守るための“最後のチャンス”です。
歯が長く見える・歯並びが変わるなども危険信号
鏡を見たときに「歯が長くなった気がする」「前歯のすき間が広がってきた」――
そんな変化を感じたら、それも歯周病が進行しているサインかもしれません。
歯ぐきが下がることで歯の根の部分が露出し、見た目には“歯が長くなったように”見えます。
実際には、炎症によって歯ぐきと骨が下がり、歯を支える土台が弱くなっている状態です。
さらに、支えを失った歯がわずかに動くことで、かみ合わせのバランスが崩れ、歯並びが変わることもあります。
前歯が前方に傾いたり、歯と歯のすき間が広がったりするのは、歯周病の進行による「支えの喪失」が原因です。
見た目の問題だけでなく、噛み合わせの不均衡が他の歯にも負担をかけ、炎症を加速させる悪循環を生み出します。
また、歯ぐきが下がると歯の根が露出し、冷たい飲み物や歯ブラシの刺激でしみる知覚過敏が起こることもあります。
このような症状が見られる場合は、できるだけ早く歯科医院での検査・治療を受けることが大切です。
医療法人大杉歯科医院では、重度の歯周病でも「歯を残す治療」を第一に考えています。
マイクロスコープを用いた精密な歯石除去、歯周外科治療、歯周組織再生療法などを組み合わせ、失われた組織の回復を目指します。
さらに、治療後のメインテナンスを徹底することで、再発を防ぎ、長く安定した状態を維持できるようサポートしています。
「歯が長く見える」「歯が動いている気がする」と感じたら、それは重度歯周病の“警告信号”です。
放置すれば、やがて歯は自然に抜け落ちてしまうこともあります。
ほんの少しの違和感でも、「おかしいな」と感じた時点で受診することが、歯を救うための大切な一歩です。
Influence歯周病・重度歯周病が
全身に及ぼす影響
糖尿病・心臓病・脳梗塞・
認知症・早産など多くの疾患と関連
「歯周病は口の中だけの病気」と思われがちですが、実は全身の健康と密接に関係しています。
近年の研究により、歯周病菌や炎症によって生じる物質が血流を介して全身を巡り、さまざまな疾患の引き金になることが明らかになってきました。
糖尿病
まず注目されているのが「糖尿病」との関係です。
歯周病による慢性的な炎症が続くと、体内で炎症性物質(サイトカイン)が過剰に分泌され、インスリンの働きを妨げて血糖値を上げやすくします。その結果、歯周病があると糖尿病のコントロールが難しくなり、逆に糖尿病があると免疫力が低下して歯周病が悪化するという悪循環が起こります。
実際、歯周病の治療を行うことで血糖値の改善が見られるケースも多く報告されています。
心臓病や脳梗塞
また、歯周病は「心臓病」や「脳梗塞」などの命に関わる疾患とも関連しています。
歯周病菌が血管内に入り込むと、血管の内壁を傷つけて動脈硬化を進行させる原因となります。
血流が悪化することで、心筋梗塞や脳梗塞のリスクが高まり、最悪の場合は命に関わる結果を招くこともあります。
認知症
さらに、近年では「認知症」との関係も注目されています。
歯周病菌の一種であるポルフィロモナス・ジンジバリスが脳内に侵入し、アルツハイマー型認知症の原因とされるアミロイドβタンパク質を増加させることが分かっています。
また、歯を失うことによって噛む力が低下し、脳への刺激が減ることも、認知機能の低下を加速させる要因といわれています。
妊娠中のトラブル
妊娠中の女性にとっても歯周病は無関係ではありません。
歯ぐきの炎症によって産生される「プロスタグランジンE2」という物質が子宮の収縮を促すため、早産や低体重児出産のリスクが高まるといわれています。
妊娠期はホルモンの変化で歯ぐきが腫れやすくなるため、より丁寧な口腔ケアが必要です。
このように、歯周病は「糖尿病」「心疾患」「脳梗塞」「認知症」「早産」など、全身の健康や生活の質に深く関わる病気です。
お口のケアを行うことは、単なる歯の治療ではなく、全身の病気を予防する第一歩でもあります。
炎症物質が血流を通じて全身へ広がる
メカニズム
では、なぜお口の病気が全身に影響を与えるのでしょうか。その鍵を握るのが「炎症」と「血流」です。
歯周病が進行すると、歯ぐきの組織が破壊され、細菌が血管内に侵入しやすい状態になります。
このとき、歯周病菌そのものだけでなく、体が炎症に反応して作り出す「炎症性サイトカイン」という物質も血液中に放出されます。
それらが血流に乗って全身を巡り、血管・心臓・脳・関節などさまざまな臓器に悪影響を及ぼすのです。
例えば、血管の内壁に炎症が起こると、白血球や脂質が付着しやすくなり、動脈硬化が進行します。
脳や心臓への血流が滞ることで、脳梗塞や心筋梗塞の発症リスクが上昇します。
また、糖尿病患者では炎症物質がインスリンの働きを阻害し、血糖コントロールをさらに難しくします。
慢性的な炎症は免疫システムのバランスを崩し、全身の老化や生活習慣病のリスクを高める要因にもなります。
つまり歯周病は、単なる口の中の感染症ではなく、全身の炎症を引き起こす“全身疾患”なのです。
お口の炎症を改善することで、糖尿病・心疾患・脳血管疾患などのリスクを軽減し、健康寿命を延ばすことを目指しています。
歯ぐきの出血や口臭といった小さなサインは、体全体の不調を知らせる“最初の警告”かもしれません。
お口の健康を整えることは、未来の自分の健康を守る最も身近で確実な方法です。
Diagnosis歯周病治療で歯を守る——
早期発見と正確な診断
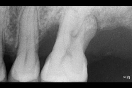
歯周ポケット検査・レントゲン・
細菌検査で進行度を正確に把握
歯周病の治療を成功に導くために欠かせないのが、「早期発見」と「的確な診断」です。
歯ぐきの腫れや出血といった自覚症状だけでは、病気の進行度を正確に判断することはできません。見た目に異常がなくても、歯を支える骨(歯槽骨)がすでに溶け始めているケースも少なくありません。
そこで医療法人大杉歯科医院では、初診時に精密な検査を行い、歯周病の進行状態を多角的に診断します。
-
歯周ポケット検査
まず行うのが「歯周ポケット検査」です。
専用の細い器具で、歯と歯ぐきの間にあるすき間(歯周ポケット)の深さを測定し、歯ぐきの健康状態を数値で確認します。
健康な歯ぐきのポケットは2~3mm程度ですが、4mmを超えると炎症が進行している可能性が高く、6mm以上になると中等度~重度の歯周病と診断されることもあります。 -
レントゲン検査
次に行うのが「レントゲン検査」です。
歯ぐきの下にある歯槽骨がどの程度吸収されているか、炎症がどの範囲に及んでいるかを確認し、肉眼では見えない部分の状態を把握します。さらに必要に応じて「細菌検査」も実施し、歯周病菌の種類や活性度を分析。どの菌が炎症の主な原因となっているのかを明らかにし、患者さま一人ひとりに最適な治療方針を立てます。
このような検査を行うことで、見た目だけでは分からない「隠れたリスク」を発見できます。
歯周病は早期であればあるほど治療効果が高く、歯を残せる可能性も大きくなります。痛みがなくても、「検査を受けること」こそが歯を守る第一歩なのです。
軽度ならスケーリング・SRP、
中等度~重度は再生療法や外科治療
歯周病の治療は、進行度に応じてアプローチが異なります。
-
軽度の歯肉炎
軽度の歯肉炎や初期の歯周炎であれば、まずは原因であるプラーク(歯垢)や歯石を取り除く「スケーリング」と、歯根の表面を滑らかに整える「SRP(ルートプレーニング)」が中心です。
専用の器具を使って歯ぐきの奥まで清掃し、細菌が再び付着しにくい状態に整えます。 -
中等度以上の歯肉炎
しかし、炎症が中等度以上に進行している場合には、歯ぐきの奥深くまで歯石や感染組織が入り込み、通常のクリーニングだけでは改善が難しくなります。
その場合は「歯周外科治療」を行い、歯ぐきを一部開いて直接歯根を露出させ、炎症の原因をしっかりと除去します。
これにより、深くなった歯周ポケットをリセットし、再感染を防ぐことができます。 -
重度の歯肉炎
さらに、歯槽骨が大きく失われている場合には、「歯周組織再生療法」を行うこともあります。
これは、特殊なたんぱく質(エムドゲイン)や人工骨を用いて、溶けてしまった骨や歯周組織の再生を促す最先端治療です。
医療法人大杉歯科医院では、マイクロスコープや歯科用CTによる精密診断をもとに、フラップ手術や再生療法など、患者さまの症状に合わせた高度な歯周病治療を行っています。
治療後の「メインテナンス」も、歯を守るうえで欠かせません。
定期的に歯ぐきの状態を確認し、歯石の再付着を防ぐことで、再発リスクを大幅に減らすことができます。
歯周病は“治ったら終わり”の病気ではなく、継続的なケアによってはじめて健康を維持できる疾患です。
そんな小さな変化こそが、歯周病の早期サインかもしれません。
医療法人大杉歯科医院では、早期発見・精密診断・再発防止の3つの柱で、患者さまの歯を長く守る治療を行っています。
Approach重度歯周病へのアプローチ
マイクロスコープとCTによる精密診断で“見逃さない治療”を
重度の歯周病では、炎症が歯ぐきの奥深くや骨の内部まで進行していることが多く、肉眼だけでは正確な診断が困難です。
そのため医療法人大杉歯科医院では、マイクロスコープ(歯科用顕微鏡)と歯科用CTを活用した精密診断を行い、病変を可視化したうえで治療計画を立てています。
マイクロスコープ
マイクロスコープは、肉眼の約20~30倍にまで拡大して患部を確認できる高精度機器です。
これにより、わずかな歯石や感染源の残りも見逃さず、「細菌の取り残しゼロ」を目指した治療が可能になります。
歯周病は、取り切れなかった細菌が再び炎症を引き起こすことが多く、再発防止にはこの“精密な視野”が欠かせません。
マイクロスコープを使うことで、歯根の分岐部や深いポケットの奥まで正確に確認でき、より確実な治療結果へとつなげます。
歯科用CT
さらに、歯科用CTを併用することで、歯・骨・神経の位置関係を三次元的に把握できます。
レントゲンでは平面的にしか見えない情報も、CTなら立体的に解析でき、
「どの範囲まで骨が吸収されているのか」「炎症がどの部位に及んでいるのか」を正確に診断可能です。
これにより、再生療法や外科処置の必要性や範囲を明確化し、治療の成功率を高めることができます。
重度歯周病の治療は、もはや経験や勘に頼る時代ではありません。
科学的根拠に基づいた診断と、ミクロ単位の精度を追求する治療こそが、歯を守る鍵です。
医療法人大杉歯科医院では、先端機器による診断をもとに、一人ひとりの症状に合わせた最適な治療計画を立案しています。
歯周組織再生療法・フラップ手術・
噛み合わせ調整で“歯を残す治療”を
重度の歯周病になると、多くの方が「もう抜くしかない」と思い込んでしまいます。
しかし医療法人大杉歯科医院では、“歯を残すための治療”にこだわり、再生療法や外科治療を組み合わせながら歯の保存を目指しています。
-
歯周組織再生療法
まず、歯を支える骨(歯槽骨)が大きく失われている場合には、「歯周組織再生療法」を行います。
これは、特殊なたんぱく質製剤(エムドゲイン®など)や人工骨を用いて、溶けてしまった骨や歯周組織を再生させる先進的な治療法です。
失われた組織を“再び取り戻す”ことで、歯の動揺を抑え、長期的に安定した口腔環境を築くことが可能になります。 -
フラップ手術
(歯肉剥離掻爬術)また、炎症が歯ぐきの深部まで進行している場合は、「フラップ手術(歯肉剥離掻爬術)」を実施します。
歯ぐきを丁寧に開いて奥深くの歯石や感染組織を直接確認しながら取り除く方法で、マイクロスコープを併用することで精密かつ低侵襲な処置が可能です。
これにより、術後の腫れや痛みを抑え、治癒を早める効果も期待できます。 -
噛み合わせの調整
さらに、治療後の安定を維持するためには「噛み合わせの調整」が欠かせません。
重度歯周病の歯は支えが弱く、噛み合わせのバランスが崩れると、一部の歯に過剰な負担がかかって再発の原因となります。 当院では、噛み合わせ全体を総合的に診断し、力の分散や咬合バランスの安定を図ることで、長期的に歯を守る治療を実現しています。
これらの治療はいずれも、「痛みを取る」だけの対症療法ではなく、原因を根本から取り除き、歯を守り抜くための再生医療です。
重度歯周病でも、正確な診断と適切な治療を行えば、歯を残せる可能性は十分にあります。
「抜くしかない」と言われた方も、まだ諦める必要はありません。
医療法人大杉歯科医院では、“歯を失う前に、残すための最後の選択肢”をご提案しています。
どんな状態でも、まずは一度ご相談ください。
Maintenance治療後のメインテナンスが鍵
再発を防ぐための
「3~4ヶ月ごとの定期ケア」
歯周病の治療が完了すると、多くの患者さんが「もう治ったから大丈夫ですよね」と安心されます。
しかし実際には、歯周病は“治って終わり”ではなく、“治療後からが本当のスタート”です。
歯周病は細菌による慢性疾患であり、治療で炎症を抑えても、口腔内の細菌環境が完全にリセットされるわけではありません。
毎日のブラッシングをしっかり行っていても、どうしても磨き残しが生じ、歯ぐきの奥や歯の隙間にプラーク(歯垢)が再びたまり始めます。これが再発の大きな要因となります。
そこで医療法人大杉歯科医院では、「3~4ヶ月ごとの定期的なメインテナンス」を強く推奨しています。
この周期は、歯周病菌が再び活性化し始めるタイミングを考慮した最適な間隔です。
定期的に専門の歯科衛生士によるプロフェッショナルケアを受けることで、細菌の繁殖をリセットし、炎症の再発を防ぐことができます。
メインテナンスでは、単に歯石を取るだけでなく、歯ぐきの状態・歯周ポケットの深さ・噛み合わせの変化なども細かくチェックします。
治療直後は安定していても、時間の経過とともにわずかな変化が現れることがあります。その小さなサインを早期に見つけ、適切な処置を行うことで、重症化を防ぎ、健康な状態を長く維持できます。
つまり、「治療後も通い続けること」こそが歯を守る最大の秘訣です。
一度治療した歯と歯ぐきを健康に保つためには、定期的なメインテナンスの積み重ねが欠かせません。
歯科衛生士によるPMTC・
生活習慣指導で長期安定を目指す
メインテナンスの要となるのが、歯科衛生士によるPMTC(Professional Mechanical Tooth Cleaning)です。
これは、患者さん自身の歯みがきでは落としきれないプラークやバイオフィルム(細菌の膜)を、専用の器具とペーストを使用して丁寧に除去する専門的なクリーニングです。
歯の表面だけでなく、歯と歯ぐきの境目や歯周ポケット内部まで徹底的に清掃することで、再感染のリスクを大幅に軽減します。
さらに医療法人大杉歯科医院では、「お口の中を再発しにくい環境に整える」ことにも力を入れています。
歯周病は生活習慣病の一種ともいわれるため、ブラッシング指導はもちろん、食生活・喫煙・ストレス・睡眠といった生活習慣の改善も重要です。
患者さま一人ひとりのライフスタイルに合わせたアドバイスを行い、日常の中から歯周病を防ぐ習慣づくりをサポートしています。
特に喫煙は、歯ぐきの血流を悪化させて免疫力を低下させるため、治療効果を下げる大きなリスク要因となります。
そのため当院では、禁煙支援や歯ぐきの改善プログラムも含めたトータルケアを実施しています。
また、定期メインテナンスでは口腔内写真やレントゲンを定期的に撮影し、以前のデータと現在の状態を比較することで、治療効果やリスク変化を「見える化」します。
これにより、患者さん自身が自分の口の変化を実感でき、“良い状態を維持するモチベーション”を高めることができます。
治療後のケアを怠らなければ、歯を失うリスクは大きく下げられます。
医療法人大杉歯科医院は、治療から予防、そして一生涯の口腔サポートまで、患者さまの歯を長く守り続けるパートナーでありたいと考えています。
歯を失わないために一生自分の歯で食べる未来へ To Avoid Losing Teeth
口腔から全身を守る
“予防の習慣化”
歯周病は、「治す病気」ではなく、「管理し続ける病気」です。
一度治療で炎症を抑えても、原因となる細菌や生活習慣がそのままであれば、時間の経過とともに再発を繰り返してしまいます。だからこそ重要なのは、“予防を日常の習慣にすること”。この意識の積み重ねこそが、一生自分の歯で食事を楽しむための最大のポイントです。
歯周病は、歯を失う原因になるだけでなく、糖尿病・心疾患・脳梗塞・認知症などの全身疾患とも深く関わっています。
つまり、「お口の健康を守ること」は「全身の健康を守ること」に直結しているのです。
日々の正しいブラッシングと、定期的なプロフェッショナルケアを継続することで、歯周病のリスクを最小限に抑えることができます。
医療法人大杉歯科医院では、患者さま一人ひとりの生活習慣・年齢・リスクに合わせたオーダーメイドの予防プログラムを提案しています。
歯みがき指導はもちろん、食生活・睡眠・ストレス・喫煙といった要因にも目を向け、口腔環境の改善をトータルにサポート。
歯科衛生士が定期的に歯ぐきの状態やポケットの深さをチェックし、炎症や磨き残しの兆候を早期に発見していきます。
予防を習慣化するためには、「意識」と「継続」が欠かせません。
たとえば、
- 夜だけでも時間をかけて丁寧に磨く
- フロスや歯間ブラシを毎日のルーティンに取り入れる
- 3~4ヶ月ごとにメインテナンスへ通う
こうした小さな行動の積み重ねが、10年後、20年後の歯の健康を大きく左右します。
“痛くなってから行く歯医者”から、“痛くならないために通う歯医者”へ。
それが、医療法人大杉歯科医院が目指す「予防中心の医療」であり、地域の皆さまの健康を長く支えるための使命です。
重度でも諦めない。あなたの
歯を守る最後の砦として
「歯がぐらぐらしている」「他院で抜くしかないと言われた」——。
そんな方にも、まだ希望があります。
医療法人大杉歯科医院では、“歯をできる限り残す治療”に徹底的にこだわり、重度の歯周病に対しても再生療法や外科的アプローチを組み合わせた保存治療を行っています。
精密なCT撮影とマイクロスコープによる拡大視野で、歯を支える骨や歯根の状態を正確に診断。
必要に応じて歯周組織再生療法を行い、溶けてしまった骨や歯ぐきを再生し、歯を支える力を取り戻します。
さらに、噛み合わせのバランスを調整することで、歯への負担を軽減し、治療後も安定した状態を長く維持できる環境を整えます。
重度の歯周病治療は、単に「炎症を抑える」ことが目的ではありません。
失われた機能を取り戻し、再発を防ぎ、生活の質(QOL)を守ることこそが本質です。
歯を抜くか残すかの分かれ道は、正確な診断力と、歯を残すことに本気で取り組む歯科医院にかかっています。
医療法人大杉歯科医院では、
「もう一度、自分の歯でしっかり噛めるように」
「もう一度、自信を持って笑えるように」
という患者さまの願いに応えるため、“歯を残す最後の砦”として全力で治療に取り組んでいます。
歯周病がどれほど進行していても、行動を起こすのに遅すぎるということはありません。
今この瞬間の決断が、未来の健康と笑顔を左右します。
――「一生自分の歯で食べる未来」を守るために、医療法人大杉歯科医院が全力でサポートいたします。
歯周病・重度歯周病についての
よくある質問 FAQ
-
A
重度に進行した場合でも、すべてが抜歯になるわけではありません。当院ではCTやマイクロスコープを使用し、歯槽骨の残存量や炎症の深さを立体的に確認したうえで治療を進めます。骨の再生を促す「歯周組織再生療法」や、深い部分の感染源を直接除去する「フラップ手術」、咬み合わせの調整などを組み合わせることで、歯の保存を目指します。他院で抜歯と診断された方でも、残せる可能性があるケースは少なくありません。
-
A
ほとんどの治療は局所麻酔を使用するため、処置中の痛みはごくわずかです。大杉歯科医院では、マイクロスコープを用いることで、歯ぐきを必要以上に傷つけずに精密な治療を行っています。術後に違和感や腫れが出ることはありますが、多くの場合数日~短期間で落ち着きます。なるべく負担の少ない治療を心がけていますので、ご安心ください。
-
A
歯周病は一度治っても再発しやすい病気です。歯周病菌は数ヶ月で再び増え始めるため、3~4ヶ月ごとのプロフェッショナルケアが推奨されています。当院が行うPMTCでは、歯垢やバイオフィルムを専用の器具で丁寧に除去し、再発しにくい環境をつくります。また、歯ぐきの状態や歯周ポケットの変化を確認することで、早い段階で異変に気づき、対応することができます。
-
A
歯周病は自然に治ることはありません。原因となるプラーク(歯垢)や歯石は、日常のブラッシングでは完全に取り除くことができず、細菌が増え続けることで炎症を悪化させます。特に歯石は表面が粗く、細菌が付着しやすいため、放置すると症状の進行を助長します。当院では、歯科衛生士によるスケーリングやSRP(ルートプレーニング)を行い、細菌の温床を徹底的に取り除くことで、健康な状態に近づけていきます。
-
A
以下の症状があれば、歯周病が進行している可能性があります。
・歯ぐきの腫れ・出血
・口臭が強い
・歯がぐらつく
・噛むと痛みが出る
・歯が長く見える(歯ぐきの退縮)
これらは重度の状態を示す場合もあるため、早めの診断が重要です。当院ではCTやマイクロスコープを使用し、状況を精密に評価したうえで治療計画をご提案します。 -
A
歯みがきをした際に血が混じる、歯ぐきが赤く腫れるといった症状は、初期段階の歯周病(歯肉炎)であることが少なくありません。痛みが出にくいため見逃されがちですが、炎症を放置すると歯周ポケットが深まり、歯を支える骨が徐々に失われていきます。大杉歯科医院では、歯周ポケット検査・レントゲン・CTを併用し、表面だけでは分からない進行度を正確に把握します。早い段階で治療を始めるほど歯を残せる可能性が高いため、気になる症状がある場合は早めの受診をおすすめします。
-
A
口臭の原因の多くは歯周病に関連しています。歯周ポケットの中で細菌が増えると、「揮発性硫黄化合物」というガスが発生し、独特のにおいを生じます。自分では気づきにくいため、周囲の方から指摘されて受診されるケースも多く見られます。大杉歯科医院では、歯周病の有無や進行度を検査したうえで、クリーニングや必要な治療を行い、口臭の改善につなげていきます。
-
A
はい。歯周病で発生した炎症性物質は血流を通じて全身に広がります。これにより、糖尿病の悪化、心筋梗塞・脳梗塞のリスク上昇、認知症との関連、さらに妊婦さんでは早産リスクの増加など、健康に深刻な影響を与える可能性があります。歯周病治療は、お口だけでなく全身の健康を守るための重要な予防医療のひとつです。
-
A
喫煙は歯周病の重大なリスク因子です。タバコの成分により歯ぐきの血流が低下し、免疫力が弱まることで炎症が進行しやすくなります。また、喫煙者は出血が少ないため症状に気づきにくく、気づいた時には重症化していることも珍しくありません。当院では禁煙のサポートや生活習慣面でのアドバイスも行っています。
-
A
予防の基本は「毎日の丁寧なブラッシング」と「歯間ケア」です。歯ブラシだけでは落とせない汚れが多く、フロスや歯間ブラシを併用することで予防効果が高まります。また、食生活や睡眠不足、ストレス、喫煙なども歯周病に影響します。大杉歯科医院では、ご自身の生活習慣に合わせたケア方法をご提案し、毎日の予防習慣をサポートしています。
当院の
歯周病・重度歯周病の費用 Price
医療法人大杉歯科医院の歯周病治療費と料金の透明性
重度歯周病に対する歯周形成外科や歯周組織再生療法などの治療は、保険適用外の自由診療となるものも多く、治療内容や部位によっては1本あたり数万円~数十万円の費用がかかる場合があります。金額だけを見れば決して安い治療ではありませんが、大切なのは「どのような診査・治療・術後管理が含まれているのか」をご理解いただき、内容にご納得いただけるかどうかです。
医療法人大杉歯科医院では、再生療法や歯周形成外科を含む各処置ごとに費用の内訳を明示し、事前のカウンセリングで丁寧にご説明したうえで治療を進めます。
| 処置 | 種類 | 料金(税別) |
|---|---|---|
| 歯周形成外科 | 歯冠長延長術 | ¥60,000~ |
| 結合組織移植術 | ¥130,000~ | |
| 遊離歯肉移植術 | ¥130,000~ | |
| 歯周組織再生療法 | 前歯部 | ¥180,000~250,000 |
| 臼歯部 | ¥200,000~250,000 |
※費用は処置範囲や難易度に応じて変動します。
※歯周形成外科・歯周組織再生療法は自費診療(保険適用外)です。
※デンタルローンのご利用も可能です。
※価格はすべて税抜です。
歯周病や重度歯周病の知識と経験を持つ歯科医師による無料相談
三重県津市の大杉歯科医院では、歯周病や重度歯周病の方に関する無料相談を行っています。歯周病を放置すると炎症が広がり、歯ぐきや骨が失われ、治療の選択肢が限られてしまいます。できるだけ早い段階での受診をおすすめしています。
豊富な症例実績をもつ院長が、歯科用CT・歯周病検査による精密診査の結果をもとに、
一人ひとりに最適な治療計画をご提案いたします。
歯を残したい方、重度歯周病でお悩みの方も、まずはお気軽にご相談ください。
〒510-0303 三重県津市河芸町東千里175-2
| 診療時間 | 月 | 火 | 水 | 木 | 金 | 土 | 日 |
|---|---|---|---|---|---|---|---|
| 9:00 – 13:00 | ● | ● | ● | ● | ● | ||
| 14:00 – 18:00 | ● | ||||||
| 15:00 – 19:00 | ● | ● | ● | ||||
| 14:00 – 17:30 | ● |
※土曜日は17:30/水曜日は18:00まで
【休診】木・日・祝
近鉄名古屋線「千里駅」徒歩4分 駐車場16台完備















